NCAM1 / CD56 Recombinant Rabbit Monoclonal Antibody [JF1021]
概要
製品名
NCAM1 / CD56 Recombinant Rabbit Monoclonal Antibody [JF1021]
抗体の種類
Recombinant Rabbit monoclonal Antibody
免疫原
Synthetic peptide within C-terminal human NCAM1.
種属反応性
Human, Zebrafish
検証された応用例
WB, IF-Cell, IHC-P, FC, IP, mIHC
分子量
Predicted band size: 95 kDa
陽性対照
SH-SY5Y cell lysates, human brain tissue lysates, A549, SH-SY5Y, human tonsil tissue, zebrafish tissue, human kidney tissue, human small lell lung cancer.
結合
unconjugated
クローン番号
JF1021
RRID
製品の特徴
形態
Liquid
濃度
保存方法
Shipped at 4℃. Store at +4℃ short term (1-2 weeks). It is recommended to aliquot into single-use upon delivery. Store at -20℃ long term.
保存用バッファー
1*TBS (pH7.4), 0.05% BSA, 40% Glycerol. Preservative: 0.05% Sodium Azide.
アイソタイプ
IgG
精製方法
Protein A affinity purified.
応用希釈度
-
WB
-
1:1,000-1:5,000
-
IF-Cell
-
1:50-1:200
-
IHC-P
-
1:50-1:200
-
FC
-
1:50-1:100
-
IP
-
Use at an assay dependent concentration.
-
mIHC
-
1:500-1:1,000
ターゲット
機能
Neural cell adhesion molecules (NCAMs) are a family of closely related cell surface glycoproteins involved in cell to cell interactions during growth and thought to play an important role in embryogenesis and development. The expression of these molecules is widespread in all three germ layers during embryogenesis, but is more restrictive in adult tissues. NCAM expression is observed in a variety of human tumors including neuroblastomas, rhabdo-myosarcomas, Wilms' tumor, Ewing's sarcoma and some primitive myeloid malignancies. Multiple isoforms of NCAM have been reported in both mouse and human brain tissue. In humans, NCAMs arise from differential splicing and use of alternative polyadenylation sites of a single gene mapping to 11q23.
背景文献
1. Kong Q et al. Effects of pharmacological treatments on hippocampal NCAM1 and ERK2 expression in epileptic rats with cognitive dysfunction. Oncol Lett 12:1783-1791 (2016).
2. Berardis S et al. Gene expression profiling and secretome analysis differentiate adult-derived human liver stem/progenitor cells and human hepatic stellate cells. PLoS One 9:e86137 (2014).
亜細胞局在
Cell membrane, Secreted.
UNIPROT #
別名
antigen MSK39 identified by monoclonal antibody
5.1H11 antibody
antigen recognized by monoclonal antibody
5.1H11 antibody
CD56 antibody
cell adhesion molecule, neural, 1 antibody
MSK 39 antibody
MSK39 antibody
N-CAM-1 antibody
NCAM 1 antibody
展開antigen MSK39 identified by monoclonal antibody
5.1H11 antibody
antigen recognized by monoclonal antibody
5.1H11 antibody
CD56 antibody
cell adhesion molecule, neural, 1 antibody
MSK 39 antibody
MSK39 antibody
N-CAM-1 antibody
NCAM 1 antibody
NCAM antibody
NCAM C antibody
NCAM-1 antibody
NCAM1 antibody
NCAM1_HUMAN antibody
NCAMC antibody
Neural cell adhesion molecule 1 antibody
Neural cell adhesion molecule NCAM antibody
OTTHUMP00000235666 antibody
折りたたむ画像
-
Western blot analysis of NCAM1 / CD56 on SH-SY5Y cell lysates with Rabbit anti-NCAM1 / CD56 antibody (ET1702-43) at 1/500 dilution.
Lysates/proteins at 10 µg/Lane.
Predicted band size: 95 kDa
Observed band size: 120/140 kDa
Exposure time: 2 minutes;
6% SDS-PAGE gel.
Proteins were transferred to a PVDF membrane and blocked with 5% NFDM/TBST for 1 hour at room temperature. The primary antibody (ET1702-43) at 1/500 dilution was used in 5% NFDM/TBST at room temperature for 2 hours. Goat Anti-Rabbit IgG - HRP Secondary Antibody (HA1001) at 1:300,000 dilution was used for 1 hour at room temperature. -
Western blot analysis of NCAM1 / CD56 on human brain tissue lysates with Rabbit anti-NCAM1 / CD56 antibody (ET1702-43) at 1/2,000 dilution.
Lysates/proteins at 20 µg/Lane.
Predicted band size: 95 kDa
Observed band size: 140/180 kDa
Exposure time: 30 seconds;
6% SDS-PAGE gel.
Proteins were transferred to a PVDF membrane and blocked with 5% NFDM/TBST for 1 hour at room temperature. The primary antibody (ET1702-43) at 1/2,000 dilution was used in 5% NFDM/TBST at room temperature for 2 hours. Goat Anti-Rabbit IgG - HRP Secondary Antibody (HA1001) at 1:300,000 dilution was used for 1 hour at room temperature. -
Fluorescence multiplex immunohistochemical analysis of Tertiary Lymphoid Structures in Human Small Cell Lung Cancer (Formalin/PFA-fixed paraffin-embedded sections). Panel A: the merged image of anti-CD20 (HA721138, green), anti-PD-L1 (HA721176, cyan), anti-CD56 (ET1702-43, magenta) and anti-CD3 (HA720082, yellow) on tertiary lymphoid structures. Panel B: anti- CD20 stained on B cells. Panel C: anti-PD-L1 stained on dendritic cells and macrophages cells. Panel D: anti-CD56 stained on NKT cells. Panel E: anti-CD3 stained on T cells. HRP Conjugated UltraPolymer Goat Polyclonal Antibody HA1119/HA1120 was used as a secondary antibody. The immunostaining was performed with the Sequential Immuno-staining Kit (IRISKit™MH010101, www.luminiris.cn). The section was incubated in four rounds of staining: in the order of HA721138 (1/1,500 dilution), HA721176 (1/1,000 dilution), ET1702-43 (1/1,000 dilution), and HA720082 (1/500 dilution) for 20 mins at room temperature. Each round was followed by a separate fluorescent tyramide signal amplification system. Heat mediated antigen retrieval with Tris-EDTA buffer (pH 9.0) for 30 mins at 95℃. DAPI (blue) was used as a nuclear counter stain. Image acquisition was performed with Olympus VS200 Slide Scanner.
-
Fluorescence multiplex immunohistochemical analysis of human colon carcinoma (Formalin/PFA-fixed paraffin-embedded sections). Panel A: the merged image of anti-CD68 (EM1901-95, Yellow) and anti-CD56 (ET1702-43, Red) on human colon carcinoma. HRP Conjugated UltraPolymer Goat Polyclonal Antibody HA1119/HA1120 was used as a secondary antibody. The immunostaining was performed with the Sequential Immuno-staining Kit (IRISKit™MH010101, www.luminiris.cn). The section was incubated in two rounds of staining: in the order of EM1901-95 (1/3,000 dilution) and ET1702-43 (1/1,000 dilution) for 20 mins at room temperature. Each round was followed by a separate fluorescent tyramide signal amplification system. Heat mediated antigen retrieval with Tris-EDTA buffer (pH 9.0) for 30 mins at 95℃. DAPI (blue) was used as a nuclear counter stain. Image acquisition was performed with Zeiss Observer 7 Inverted Fluorescence Microscope.
-
ICC staining of NCAM1 / CD56 in A549 cells (red). Formalin fixed cells were permeabilized with 0.1% Triton X-100 in TBS for 10 minutes at room temperature and blocked with 1% Blocker BSA for 15 minutes at room temperature. Cells were probed with the primary antibody (ET1702-43, 1/50) for 1 hour at room temperature, washed with PBS. Alexa Fluor®594 Goat anti-Rabbit IgG was used as the secondary antibody at 1/1,000 dilution. The nuclear counter stain is DAPI (blue).
-
ICC staining of NCAM1 / CD56 in SH-SY5Y cells (red). Formalin fixed cells were permeabilized with 0.1% Triton X-100 in TBS for 10 minutes at room temperature and blocked with 1% Blocker BSA for 15 minutes at room temperature. Cells were probed with the primary antibody (ET1702-43, 1/50) for 1 hour at room temperature, washed with PBS. Alexa Fluor®594 Goat anti-Rabbit IgG was used as the secondary antibody at 1/1,000 dilution. The nuclear counter stain is DAPI (blue).
-
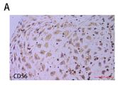
Immunohistochemical analysis of paraffin-embedded human tonsil tissue using anti-NCAM1 / CD56 antibody. The section was pre-treated using heat mediated antigen retrieval with Tris-EDTA buffer (pH 8.0-8.4) for 20 minutes.The tissues were blocked in 5% BSA for 30 minutes at room temperature, washed with ddH2O and PBS, and then probed with the primary antibody (ET1702-43, 1/50) for 30 minutes at room temperature. The detection was performed using an HRP conjugated compact polymer system. DAB was used as the chromogen. Tissues were counterstained with hematoxylin and mounted with DPX.
-
Immunohistochemical analysis of paraffin-embedded zebrafish tissue using anti-NCAM antibody. The section was pre-treated using heat mediated antigen retrieval with Tris-EDTA buffer (pH 8.0-8.4) for 20 minutes.The tissues were blocked in 5% BSA for 30 minutes at room temperature, washed with ddH2O and PBS, and then probed with the primary antibody (ET1702-43, 1/50) for 30 minutes at room temperature. The detection was performed using an HRP conjugated compact polymer system. DAB was used as the chromogen. Tissues were counterstained with hematoxylin and mounted with DPX.
-
Immunohistochemical analysis of paraffin-embedded human kidney tissue with Rabbit anti-NCAM1 / CD56 antibody (ET1702-43) at 1/200 dilution.
The section was pre-treated using heat mediated antigen retrieval with Tris-EDTA buffer (pH 9.0) for 20 minutes. The tissues were blocked in 1% BSA for 20 minutes at room temperature, washed with ddH2O and PBS, and then probed with the primary antibody (ET1702-43) at 1/200 dilution for 1 hour at room temperature. The detection was performed using an HRP conjugated compact polymer system. DAB was used as the chromogen. Tissues were counterstained with hematoxylin and mounted with DPX. -
Flow cytometric analysis of NCAM1 / CD56 was done on SH-SY5Y cells. The cells were fixed, permeabilized and stained with the primary antibody (ET1702-43, 1/50) (red). After incubation of the primary antibody at room temperature for an hour, the cells were stained with a Alexa Fluor 488-conjugated Goat anti-Rabbit IgG Secondary antibody at 1/1000 dilution for 30 minutes.Unlabelled sample was used as a control (cells without incubation with primary antibody; black).
ご注意ください: All products are "FOR RESEARCH USE ONLY AND ARE NOT INTENDED FOR DIAGNOSTIC OR THERAPEUTIC USE"
論文での実績
-
Harnessing machine learning-driven multiomics integration: deciphering programmed cell death networks for prognostication and immunotherapy prediction in lung adenocarcinoma
Journal: Cell Biology And Toxicology
DOI: 10.1007/s10565-025-10125-4
IF: 5.9
アプリケーション: mIF
交差性: Human
掲載日: 2026 Jan
-
Microfluidic-based patient-derived organoids recapitulate thyroid cancer heterogeneity and reveal NF-κB-driven maturation for precision therapy
Journal: Journal Of Translational Medicine
DOI: 10.1186/s12967-026-07882-z
IF: 7.5
アプリケーション: IF-tissue
交差性: Human
掲載日: 2026 Feb
-
FUT8 Regulates Cerebellar Neurogenesis and Development Through Maintaining the Level of Neural Cell Adhesion Molecule Cntn2
Journal: Molecular Neurobiology
DOI:
IF: 4.6
アプリケーション: WB
交差性: Mouse
掲載日: 2024 Dec
-
CD39/CD73 Dysregulation of Adenosine Metabolism Increases Decidual Natural Killer Cell Cytotoxicity: Implications in Unexplained Recurrent Spontaneous Abortion
Journal: Frontiers In Immunology
DOI:
IF: 7.561
アプリケーション: IHC-P
交差性: Human
掲載日: 2022 Feb
同じターゲット & 同じ経路の製品
NCAM1 / CD56 Recombinant Rabbit Monoclonal Antibody [JF1021] - BSA and Azide free
Application: WB,IF-Cell,IHC-P,FC,IP
Reactivity: Human,Zebrafish
Conjugate: unconjugated
NCAM1 / CD56 Recombinant Rabbit Monoclonal Antibody [PSH06-82]
Application: WB,IHC-P,IHC-Fr,IF-Cell,FC,IF-Tissue
Reactivity: Human,Mouse,Rat,Cynomolgus monkey,Pig
Conjugate: unconjugated
NCAM1 / CD56 Recombinant Rabbit Monoclonal Antibody [PSH08-89]
Application: WB,IHC-P,IF-Tissue
Reactivity: Human
Conjugate: unconjugated
NCAM1 / CD56 Recombinant Mouse Monoclonal Antibody [PDH0-07]
Application: IHC-P,WB
Reactivity: Human
Conjugate: unconjugated
NCAM1 / CD56 Recombinant Rabbit Monoclonal Antibody [PSH06-82] - BSA and Azide free
Application: WB,IHC-P,IHC-Fr,IF-Cell,FC,IF-Tissue
Reactivity: Human,Mouse,Rat,Cynomolgus monkey,Pig
Conjugate: unconjugated
NCAM1 / CD56 Recombinant Rabbit Monoclonal Antibody [PSH06-53] - BSA and Azide free
Application: WB,IHC-P,IF-Cell,FC,IP
Reactivity: Human,Mouse,Rat
Conjugate: unconjugated
NCAM1 / CD56 Recombinant Rabbit Monoclonal Antibody [PSH06-53]
Application: WB,IHC-P,IF-Cell,FC,IP
Reactivity: Human,Mouse,Rat
Conjugate: unconjugated
NCAM1 / CD56 Rabbit Polyclonal Antibody
Application: WB,IF-Cell
Reactivity: Human,Mouse,Rat
Conjugate: unconjugated
NCAM1 / CD56 Recombinant Rabbit Monoclonal Antibody
Application: mIHC
Reactivity: Human
Conjugate: unconjugated