Skip to content

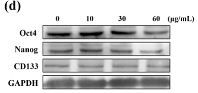
Oct4 Recombinant Rabbit Monoclonal Antibody [SD0750]

製品仕様

今すぐ注文,【现货】

問い合わせをクリック

お問い合わせ

メール: [email protected]

電話: 0571-88062880

代理店を調べる

Catalog# ET1612-20

Oct4 Recombinant Rabbit Monoclonal Antibody [SD0750]

Application
  • WB

  • IF-Cell

  • IF-Tissue

  • IHC-P

  • IP

  • FC

  • ChIP

Reactivity
  • Human

  • Mouse

Conjugation
  • unconjugated

This product has been cited in peer reviewed publications, see list HERE
Close (esc)

Popup

Use this popup to embed a mailing list sign up form. Alternatively use it as a simple call to action with a link to a product or a page.

Age verification

By clicking enter you are verifying that you are old enough to consume alcohol.

搜索