iFluor™ 488 Conjugated Goat anti-rabbit IgG polyclonal Antibody
製品仕様
今すぐ注文,【现货】
問い合わせをクリックCatalog# HA1121
iFluor™ 488 Conjugated Goat anti-rabbit IgG polyclonal Antibody
-
IF-Cell
-
IF-Tissue
-
FC
-
IHC-Fr
-
WB
-
Rabbit
-
iFluor™ 488
概要
製品名
iFluor™ 488 Conjugated Goat anti-rabbit IgG polyclonal Antibody
抗体の種類
Goat Polyclonal Antibody
免疫原
Rabbit IgG (H+L).
製品の特異性
To minimize cross-reactivity, the iFluor™ 488 conjugated goat anti-rabbit IgG (H+L) antibodies have been highly cross-adsorbed against human IgG and Mouse IgG.
種属反応性
Rabbit
検証された応用例
IF-Cell, IF-Tissue, FC, IHC-Fr, WB
結合
iFluor™ 488
製品の特徴
形態
Liquid
保存方法
Store at +4℃ after thawing. Aliquot store at -20℃. Avoid repeated freeze / thaw cycles.
保存用バッファー
Preservative: 0.02% Sodium azide Constituents: 30% Glycerol, 1% BSA, 68.98% PBS
アイソタイプ
IgG
精製方法
Immunogen affinity purified.
応用希釈度
-
IF-Cell
-
1:500-1:1,000
-
IF-Tissue
-
1:500-1:1,000
-
FC
-
1:500-1:1,000
-
IHC-Fr
-
1:500-1:1,000
-
WB
-
1:5,000
論文における応用例
| IF | 確認する 60 以下の論文 |
| WB | 確認する 8 以下の論文 |
| IF-cell | 確認する 6 以下の論文 |
| IF-tissue | 確認する 3 以下の論文 |
| IF-Tissue | 確認する 3 以下の論文 |
| IF-Cell | 確認する 2 以下の論文 |
| FC | 確認する 2 以下の論文 |
| IHC-P | 確認する 2 以下の論文 |
| IF tissue | 確認する 1 以下の論文 |
| mIHC | 確認する 1 以下の論文 |
論文における種属
| Mouse | 確認する 42 以下の論文 |
| Human | 確認する 24 以下の論文 |
| Rat | 確認する 10 以下の論文 |
| Zebrafish | 確認する 1 以下の論文 |
| Silkworm | 確認する 1 以下の論文 |
| Plasmodium falciparum 3D7 | 確認する 1 以下の論文 |
| Shrimp | 確認する 1 以下の論文 |
ターゲット
機能
Whole IgG antibodies are isolated as intact molecules from antisera by immunoaffinity chromatography. They have an Fc portion and two antigen binding Fab portions joined together by disulfide bonds and therefore they are divalent. The average molecular weight is reported to be about 160 kDa. The whole IgG form of antibodies is suitable for the majority of immunodetection procedures and is the most cost effective. Although FITC is still the most popular fluorescent labeling dye for preparing green fluorescent bioconjugates, there are certain limitations with FITC, such as severe photobleaching for microscope imaging and pH-sensitive fluorescence. Protein conjugates prepared with iFluor™ 488 dyes are far superior compared to conjugates of fluorescein derivatives such as FITC. iFluor™ 488 conjugates are significantly brighter than fluorescein conjugates and are much more photostable. Additionally, the fluorescence of iFluor™ 488 is not affected by pH (4-10). This pH insensitivity is a major improvement over fluorescein, which emits its maximum fluorescence only at pH above 9. iFluor™ 488 SE dye is reasonably stable and shows good reactivity and selectivity with protein amino groups.
背景文献
暂无
画像
-
Immunofluorescence analysis of paraffin-embedded rat cerebellum tissue labeling NeuN (ET1602-12) and GFAP (EM140707).
The section was pre-treated using heat mediated antigen retrieval with sodium citrate buffer (pH 6.0) (high pressure) for 2 minutes. The tissues were blocked in 10% negative goat serum for 1 hour at room temperature, washed with PBS. And then probed with the primary antibodies NeuN (ET1602-12, green) at 1/50 dilution and GFAP (EM140707, red) at 1/500 dilution at +4℃ overnight, washed with PBS. Goat Anti-Rabbit IgG H&L (iFluor™ 488, HA1121) and Goat Anti-Mouse IgG H&L (iFluor™ 594, HA1126) were used as the secondary antibodies at 1/1,000 dilution. DAPI was used as nuclear counterstain. -
Immunocytochemistry analysis of HeLa cells labeling beta Actin with Rabbit anti-beta Actin antibody (HA722023) at 1/250 dilution.
Cells were fixed in 4% paraformaldehyde for 20 minutes at room temperature, permeabilized with 0.1% Triton X-100 in PBS for 5 minutes at room temperature, then blocked with 1% BSA in 10% negative goat serum for 1 hour at room temperature. Cells were then incubated with Rabbit anti-beta Actin antibody (HA722023) at 1/250 dilution in 1% BSA in PBST overnight at 4 ℃. Goat Anti-Rabbit IgG H&L (iFluor™ 488, HA1121) was used as the secondary antibody at 1/1,000 dilution. PBS instead of the primary antibody was used as the secondary antibody only control. Nuclear DNA was labelled in blue with DAPI. Beta tubulin (M1305-2, red) was stained at 1/100 dilution overnight at +4℃. Goat Anti-Mouse IgG H&L (iFluor™ 594, HA1126) was used as the secondary antibody at 1/1,000 dilution. -
Immunocytochemistry analysis of NIH/3T3 cells labeling beta Actin with Rabbit anti-beta Actin antibody (HA722023) at 1/100 dilution.
Cells were fixed in 4% paraformaldehyde for 20 minutes at room temperature, permeabilized with 0.1% Triton X-100 in PBS for 5 minutes at room temperature, then blocked with 1% BSA in 10% negative goat serum for 1 hour at room temperature. Cells were then incubated with Rabbit anti-beta Actin antibody (HA722023) at 1/100 dilution in 1% BSA in PBST overnight at 4 ℃. Goat Anti-Rabbit IgG H&L (iFluor™ 488, HA1121) was used as the secondary antibody at 1/1,000 dilution. PBS instead of the primary antibody was used as the secondary antibody only control. Nuclear DNA was labelled in blue with DAPI. Beta tubulin (M1305-2, red) was stained at 1/100 dilution overnight at +4℃. Goat Anti-Mouse IgG H&L (iFluor™ 594, HA1126) was used as the secondary antibody at 1/1,000 dilution. -
Immunocytochemistry analysis of L6 cells labeling beta Actin with Rabbit anti-beta Actin antibody (HA722023) at 1/100 dilution.
Cells were fixed in 4% paraformaldehyde for 20 minutes at room temperature, permeabilized with 0.1% Triton X-100 in PBS for 5 minutes at room temperature, then blocked with 1% BSA in 10% negative goat serum for 1 hour at room temperature. Cells were then incubated with Rabbit anti-beta Actin antibody (HA722023) at 1/100 dilution in 1% BSA in PBST overnight at 4 ℃. Goat Anti-Rabbit IgG H&L (iFluor™ 488, HA1121) was used as the secondary antibody at 1/1,000 dilution. PBS instead of the primary antibody was used as the secondary antibody only control. Nuclear DNA was labelled in blue with DAPI. Beta tubulin (M1305-2, red) was stained at 1/100 dilution overnight at +4℃. Goat Anti-Mouse IgG H&L (iFluor™ 594, HA1126) was used as the secondary antibody at 1/1,000 dilution. -
Flow cytometric analysis of HeLa cells labeling beta Actin.
Cells were fixed and permeabilized. Then stained with the primary antibody (HA722023, 1μg/mL) (red) compared with Rabbit IgG Isotype Control (green). After incubation of the primary antibody at +4℃ for an hour, the cells were stained with a iFluor™ 488 conjugate-Goat anti-Rabbit IgG Secondary antibody (HA1121) at 1/1,000 dilution for 30 minutes at +4℃. Unlabelled sample was used as a control (cells without incubation with primary antibody; black). -
Flow cytometric analysis of NIH/3T3 cells labeling beta Actin.
Cells were fixed and permeabilized. Then stained with the primary antibody (HA722023, 1μg/mL) (red) compared with Rabbit IgG Isotype Control (green). After incubation of the primary antibody at +4℃ for an hour, the cells were stained with a iFluor™ 488 conjugate-Goat anti-Rabbit IgG Secondary antibody (HA1121) at 1/1,000 dilution for 30 minutes at +4℃. Unlabelled sample was used as a control (cells without incubation with primary antibody; black). -
Flow cytometric analysis of C6 cells labeling beta Actin.
Cells were fixed and permeabilized. Then stained with the primary antibody (HA722023, 1μg/mL) (red) compared with Rabbit IgG Isotype Control (green). After incubation of the primary antibody at +4℃ for an hour, the cells were stained with a iFluor™ 488 conjugate-Goat anti-Rabbit IgG Secondary antibody (HA1121) at 1/1,000 dilution for 30 minutes at +4℃. Unlabelled sample was used as a control (cells without incubation with primary antibody; black). -
Western blot analysis of Goat Anti-Rabbit IgG - iFluor™ 488 Secondary Antibody (HA1121) at 1/5,000 dilution.
Lane 1: MCF7 cell lysate (20 µg/Lane)
Lane 2: Jurkat cell lysate (20 µg/Lane)
Lane 3: Mouse testis tissue lysate (40 µg/Lane)
Lane 4: Rat heart tissue lysate (40 µg/Lane)
Exposure time: 2 seconds;
4-20% SDS-PAGE gel.
Proteins were transferred to a PVDF membrane and blocked with 5% NFDM/TBST for 1 hour at room temperature. The primary antibody (ET1605-56) at 1/20,000 dilution was used at room temperature for 2 hours. Goat Anti-Rabbit IgG - iFluor™ 488 Secondary Antibody (HA1121) at 1/5,000 dilution was used for 1 hour at room temperature.
ご注意ください: All products are "FOR RESEARCH USE ONLY AND ARE NOT INTENDED FOR DIAGNOSTIC OR THERAPEUTIC USE"
論文での実績
-
NRF2 nuclear translocation and interaction with DUSP1 regulate the osteogenic differentiation of murine mandibular osteoblasts stimulated with Porphyromonas gingivalis lipopolysaccharide
Author: Zhongxiu WANG
PMID: 40987556
Journal: Journal of Zhejiang University-SCIENCE B
アプリケーション: IF
交差性: Mouse
掲載日: 2025 Sept
-
Citation
-
LepR+ Fibroblasts Activated by BMP Signaling Promote Bone Resorption in Developmental Odontogenic Cysts
Author: Chongyun Bao
PMID: 40946915
Journal: Laboratory Investigation
アプリケーション: IF,FC
交差性: Human
掲載日: 2025 Sept
-
Citation
-
GelMA Hydrogel Encapsulating iPSC-Derived Human Spinal Cord Organoids Enhances Neural Regeneration and Restores Motor Function in Rat Spinal Cord Injury
Author: Yiheng Li, Yifan Gu, Ziru Wang, Yicong Wang, Shuai Jiang, Kun Wang, Yu Zheng, Run Feng, Min Yang
PMID: 41051068
Journal: Journal Of Biomedical Materials Research Part A
アプリケーション: IF
交差性: Rat,Human
掲載日: 2025 Oct
-
Citation
-
Esketamine relieves depressive-like behaviors in MPTP-induced Parkinson disease mice via GPR109A-dependent reduction of neuroinflammation
Author: Shu Wang, Wei Song, Yuanyuan Gao, Wei Tan, Lin Ji, Chen Wang
PMID: 41135741
Journal: Brain Research Bulletin
アプリケーション: IF tissue
交差性: Mouse
掲載日: 2025 Oct
-
Citation
-
Exosomes miR-369-3p Alleviates Early Brain Injury After Subarachnoid Hemorrhage by Promoting Ferroptosis of M1 Microglia via Inhibiting iNOS/GPX4 Axis
Author: Jian Fang, Feiyun Qin, Pengcheng Xu, Xintong Zhao, Zihuan Zhang, Dayong Xia, Jiaqiang Liu, Jiajia Yu, Liying Hu, Yuchen Wang, Zhenbao Li, Niansheng Lai
PMID: 41076547
Journal: Brain and Behavior
アプリケーション: IF-cell
交差性: Mouse
掲載日: 2025 Oct
-
Citation
-
Transcription factor 25 modulates gametocytogenesis and ribosome biogenesis in the malaria parasite Plasmodium falciparum
Author: Jing Wu, Zuping Zhang, Chandara Ngim, Wenyu Yang, Peiyi Li, Fei Wang, Jingru Ye, Bo Li, Bin Tian, Qingfeng Zhang, Xiaomin Shang
PMID: 41210950
Journal: Frontiers In Cellular And Infection Microbiology
アプリケーション: IF-cell
交差性: Plasmodium falciparum 3D7
掲載日: 2025 Oct
-
Citation
-
Single-nucleus RNA sequencing illuminates a functional analog of lymphoid organ in crustacean
Author: Mingzhe Sun, Shihao Li, Yuan Liu, Fuhua Li
PMID: 10.1016/j.jare.2025.11.018
Journal: Journal Of Advanced Research
アプリケーション: IF-tissue
交差性: Shrimp
掲載日: 2025 Nov
-
Citation
-
Single-cell characterization of trophoblast-epithelial interactions at the human maternal-fetal interface during early implantation
Author: Xu Suming, Wang Shimin, Wang Yaoqin, Bi Xingyu, Zhu Pengfei, Wang Yonglian, Wang Xianping, Wu Xueqing
PMID: 10.1093/biolre/ioaf246
Journal: Biology Of Reproduction
アプリケーション: IF-tissue
交差性: Human
掲載日: 2025 Nov
-
Citation
-
Multifunctional Inorganic-Nanosheets-Based Nanohydrogel for Periodontal Bone Regeneration via Antibacterial and Anti-Ferroptotic Immunomodulation
Author: Xuechun Yuan, Shangyou Wen, Haixing Shi, Yaoyao Luo, Shuangcheng Wang, Zhongshan He, Xiangrong Song, Hu Long
PMID: 10.1021/acsami.5c15944
Journal: ACS Applied Materials & Interfaces
アプリケーション: mIHC
交差性: Mouse
掲載日: 2025 Nov
-
Citation
-
Pro-Atherosclerotic Effects of Osteopontin Is Contributed to Promoting Foam Cell Formation Derived From VSMCs by Inhibiting Cholesterol Efflux
Author: Wentao Liu, Yuan Wang, Chen Liu, Bowei Shi, Xiaowei Xiong, Sheng Chen, Qianqian Huang, Li Wang, Guohua Zeng, Qiren Huang
PMID: 40332823
Journal: FASEB Journal
アプリケーション: IF
交差性: Mouse
掲載日: 2025 May
-
Citation
-
20-Hydroxyecdysone Modulates Bmp53-Mediated Apoptosis Regulation by Suppressing Mdm2-like-Dependent Ubiquitination in Silkworm, Bombyx mori
Author: Meixian Wang, Dingding Han, Luyang Xiang, Jiahao Wang, Benteng Luo, Xingjia Shen
PMID: 40429257
Journal: Insects
アプリケーション: IF
交差性: Silkworm
掲載日: 2025 May
-
Citation
-
Dihydromyricetin attenuates intervertebral disc degeneration by inhibiting NLRP3 inflammasome activation via the Keap1/Nrf2/HO-1 pathway
Author: Hainan Hong, Di Guo, Tao Xia, Yuhang Zhang
PMID: 40058758
Journal: European Journal Of Pharmacology
アプリケーション: IF-cell
交差性: Rat
掲載日: 2025 Mar
-
Citation
-
Double Cross-Linked Hydrogel for Intra-articular Injection as Modality for Macrophages Metabolic Reprogramming and Therapy of Rheumatoid Arthritis
Author: Yutong Song, Valentin A. Milichko, Ziqiao Ding, Wen Li, Bei Kang, Yunsheng Dou, Sona Krizkova, Zbynek Heger, Nan Li
PMID: 8NOPMID25050701
Journal: Advanced Functional Materials
アプリケーション: IF
交差性: Mouse
掲載日: 2025 Mar
-
Citation
-
Gut-Brain Axis-Based Polygala Tenuifolia and Magnolia Officinalis Improve D-gal-Induced Cognitive Impairment in Mice Through cAMP and NF-κB Signaling Pathways
Author:
PMID: 10.2147/DDDT.S506545
Journal: Drug Design Development and Therapy
アプリケーション: WB
交差性: Mouse
掲載日: 2025 Mar
-
Citation
-
Tabersonine ameliorates depressive-like behavior by inhibiting NLRP3 inflammasome activation in a mouse model
Author: Yan Shi, Yue Hu, Yaoxue Gan, Zhaoyu Mi, Shuting Luo, Jia Lei, Qian Fang, Haoyu Li
PMID: 40147640
Journal: Neuropharmacology
アプリケーション: IF
交差性: Mouse
掲載日: 2025 Mar
-
Citation
-
Cannabinoid Receptor-2 Alleviates Sepsis-Induced Neuroinflammation by Modulating Microglia M1/M2 Subset Polarization Through Inhibiting Nogo-B Expression
Author: Chen Shuxian, Li Zhen, Yang Liu, Xu Zujin, Liu Anpeng, He Qianwen, Xiao Fei, Zhan Jia
PMID: 40102346
Journal: Molecular Neurobiology
アプリケーション: IF-cell
交差性: Mouse
掲載日: 2025 Mar
-
Citation
-
Advanced Dynamic Slurry Circulation System for Precision 3D Bioprinting of Osteogenic Ceramics: Enhanced Stability, Mechanical Performance Optimization, and In Vitro Bioactivity Validation
Author: Jialin He, Mengli Xie, Siwei Luo, Geng Tang, Zihao Zou, Jianxiang Teng, Baoping Zhao, Dongbing Cui, Tianqi Zhou, Long Yang, Chuan Ye
PMID: 40787339
Journal: ACS Omega
アプリケーション: IF
交差性: Mouse
掲載日: 2025 Jul
-
Citation
-
Parvalbumin and Somatostatin Neurons in the Thalamic Reticular Nucleus Modulate Visual Information Processing in V1 of Mouse
Author: Bu Jiamin, Xu Guangwei, Zhou Yifeng
PMID: 40690155
Journal: Neuroscience Bulletin
アプリケーション: IF
交差性: Mouse
掲載日: 2025 Jul
-
Citation
-
Long noncoding RNA GCH1 mediates mitophagy via the PTEN-induced kinase 1/Parkin pathway to drive chondrocyte dysfunction and cartilage degeneration in osteoarthritis
Author: Gang Zeng, Yujun Sun, Taihe Liu, Wenzhou Liu, Yanbo Chen, Jionglin Wu, Jiayuan Zheng, Weidong Song, Yue Ding
PMID: 40634791
Journal: Animal Models And Experimental Medicine
アプリケーション: IF
交差性: Human
掲載日: 2025 Jul
-
Citation
-
Therapeutic Potential of Vanillic Acid in Ulcerative Colitis Through Microbiota and Macrophage Modulation
Author: Hu Zhao, Xingxing Fu, Yaru Wang, Zhao Shang, BangHua Li, Li Zhou, Yue Liu, Dan Liu, Bo Yi
PMID: 39812000
Journal: Molecular Nutrition & Food Research
アプリケーション: IF
交差性: Mouse
掲載日: 2025 Jan
-
Citation
-
Therapeutic Potential of Vanillic Acid in Ulcerative Colitis Through Microbiota and Macrophage Modulation
Author:
PMID: 10.1002/mnfr.202400785
Journal: MOLECULAR NUTRITION & FOOD RESEARCH
アプリケーション: IF-Tissue
交差性: Mouse
掲載日: 2025 Jan
-
Citation
-
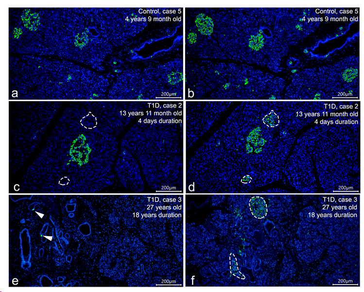
Detection of Insulin in Insulin-Deficient Islets of Patients with Type 1 Diabetes
Author:
PMID: 10.3390/life15010125
Journal: Life-Basel
アプリケーション: IF-Tissue
交差性: Human
掲載日: 2025 Jan
-
Citation
-
Detection of Insulin in Insulin-Deficient Islets of Patients with Type 1 Diabetes
Author: Yuliya Krivova, Alexandra Proshchina, Dmitry Otlyga, Anastasia Kharlamova, Sergey Saveliev
PMID: 39860066
Journal: Life-Basel
アプリケーション: IF
交差性: Human
掲載日: 2025 Jan
-
Citation
-
S100A8 dysregulation as a neuroimmune nexus: Bridging childhood inflammatory infections to adult schizophrenia-like behaviors via the ELNI model
Author: Chen Tengfei, Wang Shiyu, Sheng Longyu, Cheng Lei, Fang Ni, Wang Yaoyu, Zhang Jianing, Liu Qing, Liu Kang, Li Jie, Badrul Hisham Bin Yahaya, Juntang Lin, Wenqiang Li
PMID: 10.1016/j.schres.2025.12.016
Journal: Schizophrenia Research
アプリケーション: IF-tissue
交差性: Mouse
掲載日: 2025 Dec
-
Citation
-
Atractylodes macrocephala Koidz. water extract alleviates exercise-induced fatigue by activating mitochondrial biogenesis via the PGC-1α/NRF1/TFAM axis
Author: Guowei Ying, Jingjing Yu, Lin Jiao, Jie Liang, Zhangyun Wu, Binhui Pan, Su Gao, Suhong Chen, Guiyuan Lv
PMID: 10.1016/j.jep.2025.121053
Journal: Journal Of Ethnopharmacology
アプリケーション: WB
交差性:
掲載日: 2025 Dec
-
Citation
-
Distribution of Prohormone Convertase 1/3 in β and α Cells of the Human Fetal Pancreas at Gestational Weeks 8-20
Author: Krivova Yu. S., Proshchina A. E., Godovalova O. S., Otlyga E. G., Saveliev S. V.
PMID: 40884625
Journal: Bulletin Of Experimental Biology And Medicine
アプリケーション: IF
交差性: Human
掲載日: 2025 Aug
-
Citation
-
Sanren decoction ameliorates ulcerative colitis by modulating gut microbiota and macrophage polarization to enhance intestinal barrier function
Author: Zhang Shujuan, Li BangHua, Han Xiaoqun, Ruan LinLin, Fu Xingxing, Chen Yanglin, Wan Hongtao, Zhu Xiaojian, Liu Dan, Yi Bo
PMID: 40836347
Journal: Chinese Medicine
アプリケーション: IF
交差性: Mouse
掲載日: 2025 Aug
-
Citation
-
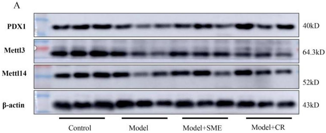
Both subcutaneous semaglutide and calorie restriction improves pancreatic cell hyperplasia and gut microbiota in high-fat diet-induced obese mice
Author: Luo Yunfei, Yang Shiqi, Zeng Haixia, Liu Shuang, Zhang Yuying, Li Jin-E, Liu Jianping
PMID: 40775354
Journal: Nutrition & Metabolism
アプリケーション: IF
交差性: Mouse
掲載日: 2025 Aug
-
Citation
-
Multiomics Integration and Machine Learning Reveal Colony Stimulating Factor 3 Receptor as a Key Gene and Therapeutic Target in Crohn’s Disease
Author: Peihong Li, Hongyi Hu, Lujia Yang, Linda Zhong, Boyun Sun, Chaoqun Bao
PMID: 10.1155/mi/1619237
Journal: Mediators of Inflammation
アプリケーション: IF-Tissue
交差性: Human
掲載日: 2025 Aug
-
Citation
-
PDZK1 Protects Against RPE Senescence by Targeting the 14-3-3ε-mTOR Axis to Attenuate Early Diabetic Retinopathy
Author: Jian Zhao, Junbiao Zhang, Yanli Liu, Lili Wang, Chunxi Huang, Wei Chi, Meixia An
PMID: 40853330
Journal: Advanced Science
アプリケーション: IF
交差性: Mouse,Human
掲載日: 2025 Aug
-
Citation
-
Triple-phase VPA administration in Sprague-Dawley rats: A cost-effective ASD model unveiling the synaptic-mitochondrial-inflammatory axis as a therapeutic target
Author: Zhaoming Liu, Caixia Wu, Zuoxian Lin, Heying Li, Yujie Liu, Nouman Amjad, Muhammad Majid, Rajesh Basnet, Zhiyuan Li
PMID: 40812671
Journal: Life Sciences
アプリケーション: IF
交差性: Rat
掲載日: 2025 Aug
-
Citation
-
HDAC6/Trim21 aggravates macrophage inflammatory response and titanium-induced osteolysis via GSDMD signaling pathway
Author: Chen Junxi, Liu Taihe, Luo Jiankai, Chen Zhipeng, Yu Yifan, Sun Haopeng, Tan Muyun, Sun Yujun, Li Shixun, Li Changchuan, Ding Yue
PMID: 40751445
Journal: Journal Of Immunology
アプリケーション: WB
交差性: Mouse
掲載日: 2025 Aug
-
Citation
-
A hydrogel/P(VDF-TrFE) system for enhanced bone regeneration with controllable self-sustained electrical cues
Author: Qin Luo, Kepeng Hu, Haoqing Liu, Xiyue Duan, Wen Chen, Xiaoyi Chen, Xiaojun Long, Weiming Lin, Chengwei Wu, Zhangfa Song, Chengyun Ning, Wenjian Weng, Kui Cheng
PMID: 40902369
Journal: Biomaterials Advances
アプリケーション: IF
交差性: Mouse
掲載日: 2025 Aug
-
Citation
-
Oncolytic adenovirus H101 enhances the anti-tumor effects of PD-1 blockade via CD47 downregulation in tumor cells
Author: CHENXIAO QIAO, YIPENG XU, YEDIE HE, ZHIJIAN CAI, HUA WANG
PMID: 40296909
Journal: Oncology Research
アプリケーション: IF
交差性: Mouse
掲載日: 2025 Apr
-
Citation
-
DL-3-n-butylphthalide inhibits astrocyte activation in the cortical penumbra of ischemia-reperfusion model rats via AKT signaling
Author: Yiwen Yu, Tinghong Wang, Qiuling Li, Hao Zhao, Biao Li, Dong Lei, Fei Dong, Yu Xiao, Shan Wang, Yifei Ji
PMID: 40185418
Journal: Brain Research Bulletin
アプリケーション: IF
交差性: Rat
掲載日: 2025 Apr
-
Citation
-
Mulberry Leaf Extract and Deoxynojirimycin Modulates Glucose and Lipid Levels via the IRS1/PI3K/AKT Signaling Pathway in Cells
Author: Yin-Di Zhang, Jun-Xi Liu, Fei-Fei Wang, Li-Ping Qu
PMID: 19NOPMID25052901
Journal: Journal Of Food Biochemistry
アプリケーション: IF
交差性: Human,Mouse
掲載日: 2025 Apr
-
Citation
-
Cepharantine prevents hypertrophic scarring by regulating the TGF-β/SMAD pathway
Author: Liu Chenhuan, Yu Qin, Shen Lingyan, Wen Xiaoyan, lian Juan, Wang Jiani, Yang Jin, Chen Lin
PMID: 40274641
Journal: Archives Of Dermatological Research
アプリケーション: WB
交差性: Mouse
掲載日: 2025 Apr
-
Citation
-
Mannose modified graphene oxide drug-delivery system targets cancer stem cells and tumor-associated macrophages to promote immunotherapeutic efficacy
Author: Jiapu Wang, Ziwei Liang, Yuhui Wang, Qi Liu, Shaojie Wang, Jie Wang, Ruxin Duan, Liqin Zhao, Yan Wei, Di Huang
PMID: 40286606
Journal: Colloids And Surfaces B: Biointerfaces
アプリケーション: IF
交差性: Mouse
掲載日: 2025 Apr
-
Citation
-
USP24 promotes hepatocellular carcinoma progression by deubiquitinating and stabilizing YAP1
Author: Shan Huizhuang, Yuan Jiaguo, Xian Luhua, Li Wenmin, Ge Yanfen, Zhang Lei, Lin Ting, Lan Mingwei, Liu Junru, Luo Yanfei, Wu Yingli, Xiao Xinhua
PMID: 40287768
Journal: Cancer Cell International
アプリケーション: IF
交差性: Human
掲載日: 2025 Apr
-
Citation
-
DCI improves diabetic encephalopathy by modulating the BDNF/NF-κB/GSK-3β pathway
Author: Haizhu Zhang, Xiao Han, Zhuoting Zhu, Gengyin Wang, Xinyu Sun, Shuang Li, Yirong Liu, Yuxin Zhang, Linghuan Gao
PMID: 40187477
Journal: Experimental Neurology
アプリケーション: IF
交差性: Mouse
掲載日: 2025 Apr
-
Citation
-
SLC26A4 C.317C > A Variant: Functional Analysis and Patient-Derived Induced Pluripotent Stem Line Development
Author: Yijing Li, Tao Sun, Sang Hu, Hongen Xu, Teng Zhang, Jinlong Liu, Shuangshuang Lu, Bing Wang, Guo Dan
PMID: 40260864
Journal: Molecular Genetics & Genomic Medicine
アプリケーション: IF
交差性: Human
掲載日: 2025 Apr
-
Citation
-
Resveratrol—A Herbal Immunomodulator, Ameliorates Experimental Autoimmune Myasthenia Gravis by Regulating the Foxo1-Foxp3 Pathway
Author: Heyun Cheng, Yunan Shan, Xiaoyue Shen, Yanbin Li
PMID: 40262044
Journal: Journal Of Biochemical And Molecular Toxicology
アプリケーション: IF
交差性: Human
掲載日: 2025 Apr
-
Citation
-
Targeting UAF1 Alleviate Neurotoxicity by Inhibiting APP/NLRP3 Axis-Mediated Pyroptosis and Apoptosis
Author: Cheng Ling, Meng Xianguang, Tian Dandan, Zheng Bin, Xiao Yinfan, Zhao Xueying, Xu Yingying, Yang Hui, Bi Jianzhong, Li Fan, Xie Zhaohong
PMID: 40183841
Journal: Neurochemical Research
アプリケーション: IF
交差性: Mouse
掲載日: 2025 Apr
-
Citation
-
Poria cocos Polysaccharide Reshapes Gut Microbiota to Regulate Short-Chain Fatty Acids and Alleviate Neuroinflammation-Related Cognitive Impairment in Alzheimer’s Disease
Author: Meiying Song, Shanshan Zhang, Yuxin Gan, Tao Ding, Zhu Li, Xiang Fan
PMID: 40254847
Journal: Journal Of Agricultural And Food Chemistry
アプリケーション: IF
交差性: Mouse
掲載日: 2025 Apr
-
Citation
-
A chemical screen identifies PRMT5 as a therapeutic vulnerability for paclitaxel-resistant triple-negative breast cancer
Author: KeJing Zhang, Juan Wei, SheYu Zhang, Liyan Fei, Lu Guo, Xueying Liu, YiShuai Ji, WenJun Chen, Felipe E. Ciamponi, WeiChang Chen, MengXi Li, Jie Zhai, Ting Fu, Katlin B. Massirer, Yang Yu, Mathieu Lupien, Yong Wei, Cheryl. H. Arrowsmith, Qin Wu, WeiHong Tan
PMID: 39232499
Journal: Cell Chemical Biology
アプリケーション: IF
交差性: Human
掲載日: 2024 Sept
-
Citation
-
Quercetin inhibited LPS-induced cytokine storm by interacting with the AKT1-FoxO1 and Keap1-Nrf2 signaling pathway in macrophages
Author: Xu Jingyi, Li Yue, Yang Xi, Li Hong, Xiao Xi, You Jia, Li Huawei, Zheng Lingnan, Yi Cheng, Li Zhaojun, Huang Ying
PMID: 39245773
Journal: Scientific Reports
アプリケーション: IF
交差性:
掲載日: 2024 Sept
-
Citation
-
Diacetoxy-6-gingerdiol protects the extracellular matrix of nucleus pulposus cells and ameliorates intervertebral disc degeneration by inhibiting the IL-1β-mediated NLRP3 pathway.
Author: Huifeng Xi,et al
PMID: 39568855
Journal: Heliyon
アプリケーション: IF
交差性:
掲載日: 2024 Sep
-
Citation
-
Mutation of the SUMOylation site of Aurora-B disrupts spindle formation and chromosome alignment in oocytes
Author: Shan-Shan Chen,et al
PMID: 39438456
Journal: Nature
アプリケーション: IF
交差性: Human
掲載日: 2024 Oct
-
Citation
-
SENP1 prevents high fat diet-induced non-alcoholic fatty liver diseases by regulating mitochondrial dynamics
Author: Wenjing Zeng,et al
PMID: 39332783
Journal: Biochimica Et Biophysica Acta-Molecular Basis Of Disease
アプリケーション: IF
交差性: Mouse
掲載日: 2024 Oct
-
Citation
-
NPR1 promotes cisplatin resistance by inhibiting PARL-mediated mitophagy-dependent ferroptosis in gastric cancer
Author: Chengwei Wu,et al
PMID: 39476297
Journal: Cell Biology And Toxicology
アプリケーション: WB
交差性: Mouse
掲載日: 2024 Nov
-
Citation
-
The Effect of Caffeine Exposure on Sleep Patterns in Zebrafish Larvae and Its Underlying Mechanism
Author: Yuanzheng Wei, Zongyu Miao, Huixin Ye, Meihui Wu, Xinru Wei, Yu Zhang, Lei Cai
PMID: 39584977
Journal: Clocks & Sleep
アプリケーション: IHC-P
交差性: Zebrafish
掲載日: 2024 Nov
-
Citation
-
Transcriptomics of tissue exosomes to investigate miR-195-5p's amelioration of endometrial fibrosis via the YAP-Smad7 pathway: an animal study
Author: Jia-Ming Chen,et al
PMID: 39574130
Journal: Journal Of Translational Medicine
アプリケーション: IF
交差性: Rat
掲載日: 2024 Nov
-
Citation
-
SORBS1 inhibits epithelial to mesenchymal transition (EMT) of breast cancer cells by regulating PI3K/AKT signaling and macrophage phenotypic polarization
Author: Kai Feng, Ya Di, Meng Han, Weitao Yan, Yimin Wang
PMID: 38451194
Journal: Aging-Us
アプリケーション: IF
交差性:
掲載日: 2024 Mar
-
Citation
-
Proton pump inhibitors enhance macropinocytosis-mediated extracellular vesicle endocytosis by inducing membrane v-ATPase assembly
Author: Xinliang Lu, Zhengbo Song, Jiayue Hao, Xianghui Kong, Weiyi Yuan, Yingying Shen, Chengyan Zhang, Jie Yang, Pengfei Yu, Yun Qian, Gensheng Zhang, Huajun Feng, Jianli Wang, Zhenzhai Cai, Zhijian Cai
PMID: 38532609
Journal: Journal Of Extracellular Vesicles
アプリケーション: IF
交差性:
掲載日: 2024 Mar
-
Citation
-
CPEB1 Controls NRF2 Proteostasis and Ferroptosis Susceptibility in Pancreatic Cancer
Author: Zhang Shuxia,et al
PMID: 38904009
Journal: International Journal Of Biological Sciences
アプリケーション: IF
交差性:
掲載日: 2024 Jun
-
Citation
-
“Golgi-customized Trojan horse” nanodiamonds impair GLUT1 plasma membrane localization and inhibit tumor glycolysis
Author: Bei Kang, Haobo Wang, Huaqing Jing, Yunsheng Dou, Sona Krizkova, Zbynek Heger, Vojtech Adam, Nan Li
PMID: 38789089
Journal: Journal Of Controlled Release
アプリケーション: IF
交差性: Mouse
掲載日: 2024 Jun
-
Citation
-
Optical Fiber-Enabled In Situ Photocatalytic Hydrogen Generation for Infiltrating Tumor Therapy in Brain
Author: Hang Zhang, Shujuan Guan, Lei Wang, Min Zhang, Zhaoyin Wang, Zhihui Dai
PMID: 38885531
Journal: Advanced Healthcare Materials
アプリケーション: IF
交差性: Human
掲載日: 2024 Jun
-
Citation
-
Crosstalk between cancer-associated fibroblasts and myeloid cells shape the heterogeneous microenvironment of gastric cancer
Author: Peng Zhiwei,et al
PMID: 39323622
Journal: Current Genomics
アプリケーション: IF
交差性: Human
掲載日: 2024 Jul
-
Citation
-
The ANGPTL4-HIF-1α loop: a critical regulator of renal interstitial fibrosis
Author: Li Yan,et al
PMID: 38992710
Journal: Journal Of Translational Medicine
アプリケーション: IF
交差性:
掲載日: 2024 Jul
-
Citation
-
Extracellular vesicles from alveolar macrophages harboring phagocytosed methicillin-resistant Staphylococcus aureus induce necroptosis
Author: Bai Songjie,et al
PMID: 38985677
Journal: Cell Reports
アプリケーション: IF
交差性:
掲載日: 2024 Jul
-
Citation
-
IKIP downregulates THBS1/FAK signaling to suppress migration and invasion by glioblastoma cells
Author: Zhu Zhaoying,et al
PMID: 38948026
Journal: Oncology Research
アプリケーション: IF
交差性:
掲載日: 2024 Jul
-
Citation
-
Capsaicin Attenuates LPS-Induced Acute Lung Injury by Inhibiting Inflammation and Autophagy Through Regulation of the TRPV1/AKT Pathway
Author: Hu Qin,et al
PMID: 38223422
Journal: Journal Of Inflammation Research
アプリケーション: IF
交差性: Human
掲載日: 2024 Jan
-
Citation
-
METTL14-mediated m6A epitranscriptomic modification contributes to chemotherapy-induced neuropathic pain by stabilizing GluN2A expression via IGF2BP2
Author: Lu Weicheng,et al
PMID: 38319733
Journal: Journal Of Clinical Investigation
アプリケーション: IF
交差性: Rat
掲載日: 2024 Feb
-
Citation
-
Bisdemethoxycurcumin, a curcumin, protects chondrocytes, and reduces cartilage inflammation via the NRF2/HO-1/NLRP3 pathway.
Author: Gang Jin, Wei Xu, Huilin Tang, Yaying Cui, Han Zhang
PMID: 38411358
Journal: Immunity Inflammation And Disease
アプリケーション: IF
交差性: Mouse
掲載日: 2024 Feb
-
Citation
-
Comparison of the immune response and protection against the experimental Toxoplasma gondii infection elicited by immunization with the recombinant proteins BAG1, ROP8, and BAG1-ROP8
Author: Xing Yien,et al
PMID: 38372452
Journal: Parasite Immunology
アプリケーション: IF
交差性: Mouse
掲載日: 2024 Feb
-
Citation
-
A cross-sectional and longitudinal integrated study on brain functional changes in a neuropathic pain rat model
Author: Chi Xintian,et al
PMID: 38346901
Journal: eNeuro
アプリケーション: IF
交差性: Rat
掲載日: 2024 Feb
-
Citation
-
High Intensity Focused Ultrasound-Driven Nanomotor for Effective Ferroptosis-Immunotherapy of TNBC
Author: Xiangrong Yu, Xuejing Li, Qingwang Chen, Siyu Wang, Ruizhe Xu, Ying He, Xifeng Qin, Jun Zhang, Wuli Yang, Leming Shi, Ligong Lu, Yuanting Zheng, Zhiqing Pang, Shaojun Peng
PMID: 38342612
Journal: Advanced Science
アプリケーション: FC
交差性: Mouse
掲載日: 2024 Feb
-
Citation
-
Semaglutide alleviates the pancreatic β cell function via the METTL14 signaling and modulating gut microbiota in type 2 diabetes mellitus mice
Author: Jianping Liu,et al
PMID: 39719165
Journal: Life Sciences
アプリケーション: IF
交差性: Mouse
掲載日: 2024 Dec
-
Citation
-
CD7‐targeting pro‐apoptotic extracellular vesicles: A novel approach for T‐cell haematological malignancy therapy
Author: Bei Zhang, Jianqiang Chen, Jiming Chen, Yingying Shen, Yinghu Chen, Shibo Wang, Chengyan Zhang, Yuzhou He, Huajun Feng, Jiaoli Wang, Zhijian Cai
PMID: 39676736
Journal: Journal Of Extracellular Vesicles
アプリケーション: IF
交差性:
掲載日: 2024 Dec
-
Citation
-
Maresin1 Inhibits Ferroptosis via the Nrf2/SLC7A11/GPX4 Pathway to Protect Against Sepsis-Induced Acute Liver Injury
Author: Yongjing Guo,et al
PMID: 39691306
Journal: Journal Of Inflammation Research
アプリケーション: WB
交差性: Mouse
掲載日: 2024 Dec
-
Citation
-
Tomatidine Alleviates Intervertebral Disc Degeneration by Activating the Nrf2/HO-1/GPX4 Signaling Pathway
Author: Ze Li,et al
PMID: NOPMID24123106
Journal: Drug Design Development And Therapy
アプリケーション: WB
交差性: Rat
掲載日: 2024 Dec
-
Citation
-
Rapamycin Attenuates H2O2-Induced Oxidative Stress-Related Senescence in Human Skin Fibroblasts
Author: Tang Yuyang, Yang Sen, Qiu Zhen, Guan Li, Wang Yigui, Li Guixin, Tu Yuanyu, Guo Lijuan
PMID: 39093548
Journal: Tissue Engineering And Regenerative Medicine
アプリケーション:
交差性:
掲載日: 2024 Aug
-
Citation
-
Geniposide modulates GSK3β to inhibit Th17 differentiation and mitigate endothelial damage in intracranial aneurysm
Author: Qian Zhang, Lu-Feng Shi, Run-Dong Chen, He-He Zhao, Cong Yu, Yi-Rong Wang, Peng Lu
PMID: 39180344
Journal: Phytotherapy Research
アプリケーション: IF
交差性: Mouse
掲載日: 2024 Aug
-
Citation
-
α5-nAChR/STAT3/CD47 axis contributed to nicotine-related lung adenocarcinoma progression and immune escape
Author:
PMID: 37681453
Journal: Carcinogenesis
アプリケーション: IF-cell
交差性: Human
掲載日: 2023 Sept
-
Citation
-
Pen Yan Jing Tablets Alleviates Pelvic Inflammatory Disease by Inhibiting Akt/NF-κB Pathway
Author: Ping Tang, Qi Ding, Juan Lin, Xinrong Yang, Yiting Wang, Fangle Liu, Yuying Zheng, Liuqing Lin, Deqin Wang, Baoqin Lin
PMID: 37790843
Journal: International Journal Of Medical Sciences
アプリケーション: IHC-P,IF
交差性: Rat
掲載日: 2023 Sept
-
Citation
-
Ferritin was involved in interleukin-17A enhanced osteogenesis through autophagy activation
Author: Wenlin Yuan, Yuting Yang, Yingming Wei, Xufei Yu, Jiaqi Bao, Jiahui Zhong, Zhongxiu Wang, Lili Chen
PMID: 37713787
Journal: International Immunopharmacology
アプリケーション: IF
交差性:
掲載日: 2023 Sept
-
Citation
-
Activation of the PERK-CHOP signaling pathway during endoplasmic reticulum stress contributes to olanzapine-induced dyslipidemia
Author:
PMID: 37880338
Journal: Acta Pharmacologica Sinica
アプリケーション: IF
交差性: Mouse
掲載日: 2023 Oct
-
Citation
-
URP20 improves corneal injury caused by alkali burns combined with pathogenic bacterial infection in rats
Author: Gong Y, Gao J, Li M, Zhang XL, Liao YH, Bao YB
PMID: 38042515
Journal: Experimental Eye Research
アプリケーション: IF
交差性: Rat
掲載日: 2023 Nov
-
Citation
-
Carboxylated Pocoa polysaccharides inhibited oxidative damage and inflammation of HK-2 cells induced by calcium oxalate nanoparticles
Author: Peng Xiong, Yu-Yun Zheng, Jian-Ming Ouyang
PMID: 37972469
Journal: Biomedicine & Pharmacotherapy
アプリケーション: IF
交差性: Human
掲載日: 2023 Nov
-
Citation
-
PD0325901, an ERK inhibitor, attenuates RANKL-induced osteoclast formation and mitigates cartilage inflammation by inhibiting the NF-κB and MAPK pathways
Author:
PMID: 36642020
Journal: Bioorganic Chemistry
アプリケーション: WB
交差性: Mouse
掲載日: 2023 Mar
-
Citation
-
Construction of Microfluidic Chip Structure for Cell Migration Studies in Bioactive Ceramics
Author: Ye, S., Cao, Q., Ni, P., Xiong, S., Zhong, M., Yuan, T., Shan, J., Liang, J., Fan, Y., & Zhang, X.
PMID: 37282789
Journal: Small
アプリケーション: IF
交差性: Mouse
掲載日: 2023 Jun
-
Citation
-
Parthenolide alleviates microglia‐mediated neuroinflammation via MAPK/TRIM31/NLRP3 signaling to ameliorate cognitive disorder
Author:
PMID: 37182449
Journal: International Immunopharmacology
アプリケーション: IF
交差性: Human,Mouse
掲載日: 2023 Jul
-
Citation
-
Matrix Stiffness Regulated Endoplasmic Reticulum Stress-mediated Apoptosis of Osteosarcoma Cell through Ras Signal Cascades
Author: Deng Huan,et al
PMID: 37789235
Journal: Cell Biochemistry And Biophysics
アプリケーション: IF-Cell
交差性: Human,Mouse
掲載日: 2023 Dec
-
Citation
-
Effects of matrix viscoelasticity on cell–matrix interaction, actin cytoskeleton organization, and apoptosis of osteosarcoma MG-63 cells
Author: Deng Huan,et al
PMID: 38079114
Journal: Journal Of Materials Chemistry B
アプリケーション: IF-Cell
交差性: Human
掲載日: 2023 Dec
-
Citation
-
AIM2 inflammasome activation benefits the therapeutic effect of BCG in bladder carcinoma
Author: Zhou, H., Zhang, L., Luo, W., Hong, H., Tang, D., Zhou, D., Zhou, L., & Li, Y.
PMID: 36386141
Journal: Frontiers In Pharmacology
アプリケーション: IF-cell
交差性: Mouse
掲載日: 2022 Oct
-
Citation
-
Inducible co-stimulator inhibits lipid phagocytosis of human aortic smooth muscle cells by down-regulating CD36 expression
Author: Liang, M., Guo, X., Wu, H., & Zhong, Z.
PMID: 35242376
Journal: Journal Of Thoracic Disease
アプリケーション: IF
交差性: Human
掲載日: 2022 Jan
-
Citation
-
AZ-628 delays osteoarthritis progression via inhibiting the TNF-α-induced chondrocyte necroptosis and regulating osteoclast formation
Author: Gong, Y., Qiu, J., Ye, J., Jiang, T., Zhang, W., Zheng, X., Zhu, Z., Chen, L., Wang, Z., Mi, S., & Hong, Z.
PMID: 35952515
Journal: International Immunopharmacology
アプリケーション:
交差性: Mouse
掲載日: 2022 Aug
-
Citation
-
Nucleoporin 85 interacts with influenza A virus PB1 and PB2 to promote its replication by facilitating nuclear import of ribonucleoprotein
Author: Ling, Y. H., Wang, H., Han, M. Q., Wang, D., Hu, Y. X., Zhou, K., & Li, Y.
PMID: 36051755
Journal: Frontiers In Microbiology
アプリケーション: IF
交差性:
掲載日: 2022 Aug
-
Citation