CREB Recombinant Rabbit Monoclonal Antibody [SA04-04]
製品仕様
今すぐ注文,【现货】
問い合わせをクリックCatalog# ET1601-15
CREB Recombinant Rabbit Monoclonal Antibody [SA04-04]
-
WB
-
IF-Cell
-
IF-Tissue
-
IHC-P
-
FC
-
Human
-
Mouse
-
Zebrafish
-
Rat
-
HA750007
不含抗保成分
-
ET1601-15
含抗保成分
-
unconjugated
概要
製品名
CREB Recombinant Rabbit Monoclonal Antibody [SA04-04]
抗体の種類
Recombinant Rabbit monoclonal Antibody
免疫原
Synthetic peptide within human CREB aa 250-290.
種属反応性
Human, Mouse, Zebrafish, Rat
検証された応用例
WB, IF-Cell, IF-Tissue, IHC-P, FC
分子量
Predicted band size: 35 kDa
陽性対照
HeLa cell lysate, A431 cell lysate, U-2 OS cell lysate, HEK-293 cell lysate, COS-1 cell lysate, NIH/3T3 cell lysate, C2C12 cell lysate, C6 cell lysate, PC-12 cell lysate, rat testis tissue lysate, mouse brain tissue lysate, rat brain tissue lysate, zebrafish tissue lysates, Hela, human tonsil tissue, human lung carcinoma tissue, human breast carcinoma tissue, human thyroid tissue, human stomach carcinoma tissue, human pancreas tissue, mouse colon tissue, rat brain tissue, NIH/3T3, C6, human cerebellum tissue, mouse cerebellum tissue, rat cerebellum tissue.
結合
unconjugated
クローン番号
SA04-04
RRID
製品の特徴
形態
Liquid
保存方法
Shipped at 4℃. Store at +4℃ short term (1-2 weeks). It is recommended to aliquot into single-use upon delivery. Store at -20℃ long term.
保存用バッファー
1*TBS (pH7.4), 0.05% BSA, 40% Glycerol. Preservative: 0.05% Sodium Azide.
アイソタイプ
IgG
精製方法
Protein A affinity purified.
応用希釈度
-
WB
-
1:500-1:1,000
-
IF-Cell
-
1:500
-
IF-Tissue
-
1:200
-
IHC-P
-
1:500-1:5,000
-
FC
-
1:1,000
論文における応用例
| WB | 確認する 21 以下の論文 |
| IHC-P | 確認する 2 以下の論文 |
| IF | 確認する 1 以下の論文 |
論文における種属
| Mouse | 確認する 12 以下の論文 |
| Human | 確認する 5 以下の論文 |
| Rat | 確認する 4 以下の論文 |
| Zebrafish | 確認する 2 以下の論文 |
| Sheep | 確認する 1 以下の論文 |
ターゲット
機能
CREB-TF (CREB, cAMP response element-binding protein) is a cellular transcription factor. It binds to certain DNA sequences called cAMP response elements (CRE), thereby increasing or decreasing the transcription of the genes. CREB was first described in 1987 as a cAMP-responsive transcription factor regulating the somatostatin gene. Genes whose transcription is regulated by CREB include: c-fos, BDNF, tyrosine hydroxylase, numerous neuropeptides (such as somatostatin, enkephalin, VGF, corticotropin-releasing hormone), and genes involved in the mammalian circadian clock (PER1, PER2). CREB is closely related in structure and function to CREM (cAMP response element modulator) and ATF-1 (activating transcription factor-1) proteins. CREB has a well-documented role in neuronal plasticity and long-term memory formation in the brain and has been shown to be integral in the formation of spatial memory.
背景文献
1. Liu F, et al. The oncoprotein HBXIP enhances angiogenesis and growth of breast cancer through modulating FGF8 and VEGF. Carcinogenesis 35:1144-53 (2014).
2. Liu L, et al. Genetic deletion of calcium/calmodulin-dependent protein kinase kinase β (CaMKK β) or CaMK IV exacerbates stroke outcomes in ovariectomized (OVXed) female mice. BMC Neurosci 15:118 (2014).
配列相同性
Belongs to the bZIP family.
翻訳後修飾
Stimulated by phosphorylation. Phosphorylation of both Ser-133 and Ser-142 in the SCN regulates the activity of CREB and participates in circadian rhythm generation. Phosphorylation of Ser-133 allows CREBBP binding. In liver, phosphorylation is induced by fasting or glucagon in a circadian fashion (By similarity). CREBL2 positively regulates phosphorylation at Ser-133 thereby stimulating CREB1 transcriptional activity (By similarity). Phosphorylated upon calcium influx by CaMK4 and CaMK2 on Ser-133. CaMK4 is much more potent than CaMK2 in activating CREB. Phosphorylated by CaMK2 on Ser-142. Phosphorylation of Ser-142 blocks CREB-mediated transcription even when Ser-133 is phosphorylated. Phosphorylated by CaMK1 (By similarity). Phosphorylation of Ser-271 by HIPK2 in response to genotoxic stress promotes CREB1 activity, facilitating the recruitment of the coactivator CBP. Phosphorylated at Ser-133 by RPS6KA3, RPS6KA4 and RPS6KA5 in response to mitogenic or stress stimuli. Phosphorylated by TSSK4 on Ser-133.; Sumoylated with SUMO1. Sumoylation on Lys-304, but not on Lys-285, is required for nuclear localization of this protein. Sumoylation is enhanced under hypoxia, promoting nuclear localization and stabilization.
亜細胞局在
Nucleus
別名
Active transcription factor CREB antibody
cAMP response element binding protein 1 antibody
cAMP response element binding protein antibody
cAMP responsive element binding protein 1 antibody
cAMP-responsive element-binding protein 1 antibody
CREB antibody
CREB-1 antibody
CREB1 antibody
CREB1_HUMAN antibody
Cyclic AMP-responsive element-binding protein 1 antibody
展開Active transcription factor CREB antibody
cAMP response element binding protein 1 antibody
cAMP response element binding protein antibody
cAMP responsive element binding protein 1 antibody
cAMP-responsive element-binding protein 1 antibody
CREB antibody
CREB-1 antibody
CREB1 antibody
CREB1_HUMAN antibody
Cyclic AMP-responsive element-binding protein 1 antibody
MGC9284 antibody
OTTHUMP00000163864 antibody
OTTHUMP00000163865 antibody
OTTHUMP00000206660 antibody
OTTHUMP00000206662 antibody
OTTHUMP00000206667 antibody
Transactivator protein antibody
折りたたむ画像
-
Western blot analysis of CREB on different lysates with Rabbit anti-CREB antibody (ET1601-15) at 1/2,000 dilution.
Lane 1: HeLa cell lysate (20 µg/Lane)
Lane 2: A431 cell lysate (20 µg/Lane)
Lane 3: U-2 OS cell lysate (20 µg/Lane)
Lane 4: HEK-293 cell lysate (20 µg/Lane)
Lane 5: COS-1 cell lysate (20 µg/Lane)
Lane 6: NIH/3T3 cell lysate (20 µg/Lane)
Lane 7: C2C12 cell lysate (20 µg/Lane)
Lane 8: C6 cell lysate (20 µg/Lane)
Lane 9: PC-12 cell lysate (20 µg/Lane)
Lane 10: Rat testis tissue lysate (40 µg/Lane)
Lane 11: Mouse brain tissue lysate (40 µg/Lane)
Lane 12: Rat brain tissue lysate (40 µg/Lane)
Predicted band size: 35 kDa
Observed band size: 42 kDa
Exposure time: 6 seconds; ECL: K1801;
4-20% SDS-PAGE gel.
Proteins were transferred to a PVDF membrane and blocked with 5% NFDM/TBST for 1 hour at room temperature. The primary antibody (ET1601-15) at 1/2,000 dilution was used in 5% NFDM/TBST at 4℃ overnight. Goat Anti-Rabbit IgG - HRP Secondary Antibody (HA1001) at 1/50,000 dilution was used for 1 hour at room temperature. -
Immunohistochemical analysis of paraffin-embedded human breast carcinoma tissue using anti-CREB antibody.
The section was pre-treated using heat mediated antigen retrieval with sodium citrate buffer (pH 6.0) (high pressure) for 2 minutes. The tissues were blocked in 5% BSA for 30 minutes at room temperature, washed with ddH2O and PBS, and then probed with the primary antibody (ET1601-15, 1/500) for 30 minutes at room temperature. The detection was performed using an HRP conjugated compact polymer system. DAB was used as the chromogen. Tissues were counterstained with hematoxylin and mounted with DPX. -
Immunohistochemical analysis of paraffin-embedded human thyroid tissue using anti-CREB antibody.
The section was pre-treated using heat mediated antigen retrieval with sodium citrate buffer (pH 6.0) (high pressure) for 2 minutes. The tissues were blocked in 5% BSA for 30 minutes at room temperature, washed with ddH2O and PBS, and then probed with the primary antibody (ET1601-15, 1/500) for 30 minutes at room temperature. The detection was performed using an HRP conjugated compact polymer system. DAB was used as the chromogen. Tissues were counterstained with hematoxylin and mounted with DPX. -
Immunohistochemical analysis of paraffin-embedded human stomach carcinoma tissue using anti-CREB antibody.
The section was pre-treated using heat mediated antigen retrieval with sodium citrate buffer (pH 6.0) (high pressure) for 2 minutes. The tissues were blocked in 5% BSA for 30 minutes at room temperature, washed with ddH2O and PBS, and then probed with the primary antibody (ET1601-15, 1/500) for 30 minutes at room temperature. The detection was performed using an HRP conjugated compact polymer system. DAB was used as the chromogen. Tissues were counterstained with hematoxylin and mounted with DPX. -
Immunohistochemical analysis of paraffin-embedded human pancreas tissue using anti-CREB antibody.
The section was pre-treated using heat mediated antigen retrieval with sodium citrate buffer (pH 6.0) (high pressure) for 2 minutes. The tissues were blocked in 5% BSA for 30 minutes at room temperature, washed with ddH2O and PBS, and then probed with the primary antibody (ET1601-15, 1/500) for 30 minutes at room temperature. The detection was performed using an HRP conjugated compact polymer system. DAB was used as the chromogen. Tissues were counterstained with hematoxylin and mounted with DPX. -
Immunohistochemical analysis of paraffin-embedded mouse colon tissue using anti-CREB antibody.
The section was pre-treated using heat mediated antigen retrieval with sodium citrate buffer (pH 6.0) (high pressure) for 2 minutes. The tissues were blocked in 5% BSA for 30 minutes at room temperature, washed with ddH2O and PBS, and then probed with the primary antibody (ET1601-15, 1/500) for 30 minutes at room temperature. The detection was performed using an HRP conjugated compact polymer system. DAB was used as the chromogen. Tissues were counterstained with hematoxylin and mounted with DPX. -
Immunohistochemical analysis of paraffin-embedded rat brain tissue with Rabbit anti-CREB antibody (ET1601-15) at 1/1,000 dilution.
The section was pre-treated using heat mediated antigen retrieval with sodium citrate buffer (pH 6.0) (high pressure) for 2 minutes. The tissues were blocked in 1% BSA for 20 minutes at room temperature, washed with ddH2O and PBS, and then probed with the primary antibody (ET1601-15) at 1/1,000 dilution for 1 hour at room temperature. The detection was performed using an HRP conjugated compact polymer system. DAB was used as the chromogen. Tissues were counterstained with hematoxylin and mounted with DPX. -
Immunocytochemistry analysis of NIH/3T3 cells labeling CREB with Rabbit anti-CREB antibody (ET1601-15) at 1/500 dilution.
Cells were fixed in 100% precooled methanol for 5 minutes at room temperature, then blocked with 1% BSA in 10% negative goat serum for 1 hour at room temperature. Cells were then incubated with Rabbit anti-CREB antibody (ET1601-15) at 1/500 dilution in 1% BSA in PBST overnight at 4 ℃. Goat Anti-Rabbit IgG H&L (iFluor™ 488, HA1121) was used as the secondary antibody at 1/1,000 dilution. PBS instead of the primary antibody was used as the secondary antibody only control. Nuclear DNA was labelled in blue with DAPI.
Beta tubulin (M1305-2, red) was stained at 1/100 dilution overnight at +4℃. Goat Anti-Mouse IgG H&L (iFluor™ 594, HA1126) was used as the secondary antibody at 1/1,000 dilution. -
Immunocytochemistry analysis of C6 cells labeling CREB with Rabbit anti-CREB antibody (ET1601-15) at 1/500 dilution.
Cells were fixed in 100% precooled methanol for 5 minutes at room temperature, then blocked with 1% BSA in 10% negative goat serum for 1 hour at room temperature. Cells were then incubated with Rabbit anti-CREB antibody (ET1601-15) at 1/500 dilution in 1% BSA in PBST overnight at 4 ℃. Goat Anti-Rabbit IgG H&L (iFluor™ 488, HA1121) was used as the secondary antibody at 1/1,000 dilution. PBS instead of the primary antibody was used as the secondary antibody only control. Nuclear DNA was labelled in blue with DAPI.
Beta tubulin (M1305-2, red) was stained at 1/100 dilution overnight at +4℃. Goat Anti-Mouse IgG H&L (iFluor™ 594, HA1126) was used as the secondary antibody at 1/1,000 dilution. -
Immunohistochemical analysis of paraffin-embedded human cerebellum tissue with Rabbit anti-CREB antibody (ET1601-15) at 1/5,000 dilution.
The section was pre-treated using heat mediated antigen retrieval with Tris-EDTA buffer (pH 9.0) for 20 minutes. The tissues were blocked in 1% BSA for 20 minutes at room temperature, washed with ddH2O and PBS, and then probed with the primary antibody (ET1601-15) at 1/5,000 dilution for 1 hour at room temperature. The detection was performed using an HRP conjugated compact polymer system. DAB was used as the chromogen. Tissues were counterstained with hematoxylin and mounted with DPX. -
Immunohistochemical analysis of paraffin-embedded mouse cerebellum tissue with Rabbit anti-CREB antibody (ET1601-15) at 1/5,000 dilution.
The section was pre-treated using heat mediated antigen retrieval with Tris-EDTA buffer (pH 9.0) for 20 minutes. The tissues were blocked in 1% BSA for 20 minutes at room temperature, washed with ddH2O and PBS, and then probed with the primary antibody (ET1601-15) at 1/5,000 dilution for 1 hour at room temperature. The detection was performed using an HRP conjugated compact polymer system. DAB was used as the chromogen. Tissues were counterstained with hematoxylin and mounted with DPX. -
Immunohistochemical analysis of paraffin-embedded rat cerebellum tissue with Rabbit anti-CREB antibody (ET1601-15) at 1/5,000 dilution.
The section was pre-treated using heat mediated antigen retrieval with Tris-EDTA buffer (pH 9.0) for 20 minutes. The tissues were blocked in 1% BSA for 20 minutes at room temperature, washed with ddH2O and PBS, and then probed with the primary antibody (ET1601-15) at 1/5,000 dilution for 1 hour at room temperature. The detection was performed using an HRP conjugated compact polymer system. DAB was used as the chromogen. Tissues were counterstained with hematoxylin and mounted with DPX. -
Flow cytometric analysis of NIH/3T3 cells labeling CREB.
Cells were fixed and permeabilized. Then stained with the primary antibody (ET1601-15, 1/1,000) (red) compared with Rabbit IgG Isotype Control (green). After incubation of the primary antibody at +4℃ for an hour, the cells were stained with a iFluor™ 488 conjugate-Goat anti-Rabbit IgG Secondary antibody (HA1121) at 1/1,000 dilution for 30 minutes at +4℃. Unlabelled sample was used as a control (cells without incubation with primary antibody; black). -
Flow cytometric analysis of C6 cells labeling CREB.
Cells were fixed and permeabilized. Then stained with the primary antibody (ET1601-15, 1/1,000) (red) compared with Rabbit IgG Isotype Control (green). After incubation of the primary antibody at +4℃ for an hour, the cells were stained with a iFluor™ 488 conjugate-Goat anti-Rabbit IgG Secondary antibody (HA1121) at 1/1,000 dilution for 30 minutes at +4℃. Unlabelled sample was used as a control (cells without incubation with primary antibody; black). -
Western blot analysis of CREB on zebrafish tissue lysates. Proteins were transferred to a PVDF membrane and blocked with 5% BSA in PBS for 1 hour at room temperature. The primary antibody (ET1601-15, 1/500) was used in 5% BSA at room temperature for 2 hours. Goat Anti-Rabbit IgG - HRP Secondary Antibody (HA1001) at 1:5,000 dilution was used for 1 hour at room temperature.
ご注意ください: All products are "FOR RESEARCH USE ONLY AND ARE NOT INTENDED FOR DIAGNOSTIC OR THERAPEUTIC USE"
論文での実績
-
A novel protein cRERE encoded by a circular RNA directly targets ERK signaling to alleviate chemotherapy-induced neuropathic pain
Author: Zhang Jian-Bo, Zhao Zhong-Bao, Wu Jia-Yan, Duan Yu-Juan, Zhou Da-Qiang, Li Qiong, Ren Xu-Han, Yang Xiao-Hua, Zhao Yu-Ting, Zhao Shu-Quan, Chen Mei-Ying, Zhang Xiang-Zhong, Xin Wen-Jun, Guo Guo-Qing, Xie Jing-Dun, Xu Ting
PMID: 41107944
Journal: Cell Communication And Signaling
アプリケーション: WB
交差性: Rat
掲載日: 2025 Oct
-
Citation
-
Osteoinductive and Piezoelectrically Malleable Nanocomposite Bone Graft
Author: Zhiwei Cao, Jiyuan Liu, Zhanhong Liu, Chengzhi Zhao, Liru Hu, Siyu Chen, Fuli Peng, Fan Yang, Maria Grazia Raucci, Yang Sun, Luigi Ambrosio, Xingdong Zhang, Jian Pan, Xiao Yang
PMID: 10.1021/acsnano.5c12694
Journal: ACS Applied Nano Materials
アプリケーション: WB
交差性: Mouse
掲載日: 2025 Nov
-
Citation
-
Distinct roles of melatonin receptors in spermatogenesis in vitro in four-eyed sleeper (Bostrychus sinensis)
Author: Jiajun Yao, Haifeng Li, Han Yang, Meisheng Yi, Wei Liu
PMID: 10.1016/j.aqrep.2025.103204
Journal: Aquaculture Reports
アプリケーション: WB
交差性: Sheep
掲載日: 2025 Nov
-
Citation
-
Gut-Brain Axis-Based Polygala Tenuifolia and Magnolia Officinalis Improve D-gal-Induced Cognitive Impairment in Mice Through cAMP and NF-κB Signaling Pathways
Author:
PMID: 10.2147/DDDT.S506545
Journal: Drug Design Development and Therapy
アプリケーション: WB
交差性: Mouse
掲載日: 2025 Mar
-
Citation
-
TET2 orchestrates YAP signaling to potentiate targetable vulnerability in hepatocellular carcinoma
Author: He Jing, Lin Mingen, Teng Fei, Sun Xue, Tian Ziyin, Li Jiaxi, Ma Yan, Dai Yue, Gao Yi, Li Hongchen, Tian Tongguan, Xu Kai, Li Xinxing, Lv Lei, Xu Yanping
PMID: 40473594
Journal: Cell Death & Disease
アプリケーション: WB
交差性: Human
掲載日: 2025 Jun
-
Citation
-
SH2B1 Promotes Apoptosis in Diabetic Cataract via p38 MAPK Pathway
Author: Xiaohui Jiang, Liming Xu, Boyue Xu, Haotian Peng, Tonghe Yang, Yinying Zhao, Nanxin Wu, Yun-e Zhao
PMID: 39898036
Journal: iScience
アプリケーション: WB
交差性: Human
掲載日: 2025 Jan
-
Citation
-
SH2B1 Promotes Apoptosis in Diabetic Cataract via p38 MAPK Pathway
Author:
PMID: 10.1016/j.isci.2024.111735
Journal: iScience
アプリケーション: WB
交差性: Human
掲載日: 2025 Jan
-
Citation
-
SDF2L1 downregulation mediates high glucose-caused Schwann cell dysfunction by inhibiting nuclear import of TFEB and CREB via KPNA3
Author: Tingting Jin, Fan Li, Wandi Wei, Qiuli Li, Yue Gao, Chao Yuwen, Yuanyuan Sun, Wenhui Li, Lin Zhu, Jun Hao
PMID: 40294738
Journal: Experimental Neurology
アプリケーション: WB,IF
交差性: Mouse,Rat
掲載日: 2025 Apr
-
Citation
-
The Effect of Caffeine Exposure on Sleep Patterns in Zebrafish Larvae and Its Underlying Mechanism
Author: Yuanzheng Wei, Zongyu Miao, Huixin Ye, Meihui Wu, Xinru Wei, Yu Zhang, Lei Cai
PMID: 39584977
Journal: Clocks & Sleep
アプリケーション: IHC-P
交差性: Zebrafish
掲載日: 2024 Nov
-
Citation
-
Safflower Yellow Alleviates Cognitive Impairment in Mice by Modulating Cholinergic System Function, Oxidative Stress, and CREB/BDNF/TrkB Signaling Pathway
Author: Yanqiang Qi,et al
PMID: 39461389
Journal: Journal Of Ethnopharmacology
アプリケーション: WB
交差性: Mouse
掲載日: 2024 Nov
-
Citation
-
Exploring the mechanism of action of Huoermai Essential Oil for plateau insomnia based on the cAMP/CREB/BDNF/GABAergic pathway
Author: JianhaoYang,et al
PMID: 39532223
Journal: Journal Of Ethnopharmacology
アプリケーション: WB
交差性: Mouse
掲載日: 2024 Nov
-
Citation
-
Petanin Potentiated JNK Phosphorylation to Negatively Regulate the ERK/CREB/MITF Signaling Pathway for Anti-Melanogenesis in Zebrafish
Author: Jian Ouyang, Na Hu, Honglun Wang
PMID: 38892131
Journal: International Journal Of Molecular Sciences
アプリケーション: WB
交差性: Zebrafish
掲載日: 2024 May
-
Citation
-
Gastrodin relieves Parkinson's disease-related motor deficits by facilitating the MEK-dependent VMAT2 to maintain dopamine homeostasis
Author: Zhao Meihuan,et al
PMID: 38885579
Journal: Phytomedicine
アプリケーション: WB
交差性: Mouse
掲載日: 2024 Jun
-
Citation
-
Alpha-Asarone Ameliorates Neurological Dysfunction of Subarachnoid Hemorrhagic Rats in Both Acute and Recovery Phases via Regulating the CaMKII-Dependent Pathways
Author: Gao, X., Li, R., Luo, L., Liao, C., Yang, H., & Mao, S.
PMID: 36781743
Journal: Translational Stroke Research
アプリケーション: WB
交差性: Rat
掲載日: 2023 Feb
-
Citation
-
Icariin improves learning and memory function in Aβ1-42-induced AD mice through regulation of the BDNF-TrκB signaling pathway
Author: Meiyu Wan, Shengqi Sun, Xiaoke Di, Minghui Zhao, Fengjuan Lu, Zhifei Zhang, Yang Li
PMID: 37579923
Journal: Journal Of Ethnopharmacology
アプリケーション: WB
交差性: Mouse
掲載日: 2023 Aug
-
Citation
-
Cholesterol Sulfate Exerts Protective Effect on Pancreatic β-Cells by Regulating β-Cell Mass and Insulin Secretion
Author: Zhang, X., Deng, D., Cui, D., Liu, Y., He, S., Zhang, H., Xie, Y., Yu, X., Yang, S., Chen, Y., & Su, Z.
PMID: 35308228
Journal: Frontiers In Pharmacology
アプリケーション: WB
交差性: Mouse,Rat
掲載日: 2022 Mar
-
Citation
-
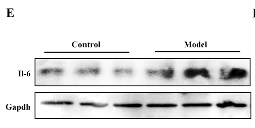
Alveolar macrophage-derived progranulin mediated pro-inflammatory Il-6 expression via regulating Creb1 in silicosis model
Author:
PMID: 35338960
Journal: International Immunopharmacology
アプリケーション: WB
交差性: Mouse
掲載日: 2022 Jun
-
Citation
-
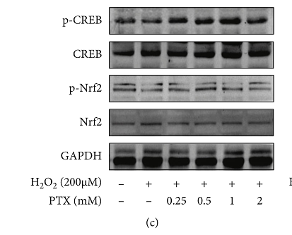
Pentoxifylline Enhances Antioxidative Capability and Promotes Mitochondrial Biogenesis in D-Galactose-Induced Aging Mice by Increasing Nrf2 and PGC-1α through the cAMP-CREB Pathway
Author:
PMID: 34257818
Journal: Oxidative Medicine And Cellular Longevity
アプリケーション: WB
交差性: Human
掲載日: 2021 Jun
-
Citation
-
Gsα deficiency facilitates cardiac remodeling via CREB/ Bmp10-mediated signaling
Author: Yin, P., Li, D., Zhao, Q., Cai, M., Wu, Z., Shi, Y., & Su, L.
PMID: 34907172
Journal: Cell Death Discovery
アプリケーション: WB
交差性: Mouse
掲載日: 2021 Dec
-
Citation
-
Loss of FoxA2 accelerates neoplastic changes in the intrahepatic bile duct partly via the MAPK signaling pathway
Author: Tianfu Wen,Chuan Li;
PMID: 31689237
Journal: Aging (Albany Ny)
アプリケーション: WB,IHC-P
交差性: Human
掲載日: 2019 Nov
-
Citation
-
Deficiency in the short-chain acyl-CoA dehydrogenase protects mice against diet-induced obesity and insulin resistance
Author: Zhiguang Su
PMID: 31585505
Journal: FASEB Journal
アプリケーション: WB
交差性: Mouse
掲載日: 2019 Dec
-
Citation
-
Regulation of hepatic gluconeogenesis by nuclear factor Y transcription factor in mice
Author: Zhiguang Su
PMID: 29530977
Journal: Journal Of Biological Chemistry
アプリケーション: WB
交差性: Mouse
掲載日: 2018 May
-
Citation
同じターゲット & 同じ経路の製品
Phospho-Creb (S133) Recombinant Rabbit Monoclonal Antibody [JB25-40]
Application: WB,IF-Cell,IHC-P,IP,FC,IF-Tissue
Reactivity: Human,Mouse,Rat
Conjugate: unconjugated
CREB Recombinant Rabbit Monoclonal Antibody [SA04-04] - BSA and Azide free
Application: WB,IF-Cell,IF-Tissue,IHC-P,FC
Reactivity: Human,Mouse,Zebrafish,Rat
Conjugate: unconjugated
Phospho-Creb (S133) Recombinant Rabbit Monoclonal Antibody [JB25-40] - BSA and Azide free
Application: WB,IF-Cell,IHC-P,IP,FC,IF-Tissue
Reactivity: Human,Mouse,Rat
Conjugate: unconjugated
CREB Recombinant Rabbit Monoclonal Antibody [PSH15-48]
Application: WB,IHC-P,IHC-Fr,IF-Cell,FC
Reactivity: Human,Mouse,Rat,Monkey
Conjugate: unconjugated