Skip to content

一次抗体

Huabioは、組換え抗体、伝統的な抗体、特殊抗体(ナノボディ、ゼブラフィッシュ抗体など)および様々なアプリケーションシナリオ(WB、IHC、IP、フローサイトメトリーなど)をカバーする包括的なソリューションを提供しています。優れたバッチ間一貫性、高い親和性、および厳密な検証により、様々な複雑な生物学的問題に容易に対応できるよう支援します。

• 組換えウサギモノクローナル抗体 & 組換えマウスモノクローナル抗体

組換えモノクローナル抗体技術はHUABIOの中核的な競争力であり、ウサギ免疫系の複雑な抗原エピトープに対する高い認識能力を活用しています。開発された組換えウサギモノクローナル抗体は、親和性(平均してマウス由来モノクローナル抗体よりも1-2桁高い)とエピトープカバレッジの幅において顕著な優位性を持ち、特にターゲット構造が複雑で免疫原性が弱いアプリケーションシナリオに適しており、腫瘍免疫療法、高感度診断などの分野で重要な可能性を示しています。

同時に、HUABIOは組換えマウスモノクローナル抗体技術の最適化を続けています。クラシックなモノクローナル抗体開発プラットフォームとして、組換えマウスモノクローナル抗体は一部の成熟したターゲットにおいて安定性が高く、プロセスの互換性が強いなどの特徴を持ち、ウサギ由来プラットフォームと効果的な補完関係を形成しています。

HUABIOは、世界中の研究機関と製薬企業に多様で高特性な抗体ソリューションを提供することに専念しており、抗体工学技術の精密医療分野における革新と応用を継続的に推進し、生物医薬品産業の進歩を共同で促進しています。

组兔单抗 & 重组鼠单抗

• マウスモノクローナル抗体 & ウサギポリクローナル抗体

クラシックで信頼できる選択です。当社のマウスモノクローナル抗体は安定したハイブリドーマ細胞株に由来し、最も一般的なターゲットに適しています。

• ラクダ科動物ナノボディ

ラクダ科動物由来の単一ドメイン重鎖抗体で、分子量が小さく、透過性が強く、伝統的な抗体が到達しにくい隠れたエピトープを認識できます。優れた安定性と可溶性を備え、新しい診断ツールや細胞内抗体アプリケーションの開発における注目製品です。

HRP Conjugated Anti-rabbit IgG

HRP Conjugated Anti-rabbit IgG for IP Nano-secondary antibody

HRP Conjugated Anti-mouse IgG

HRP Conjugated Anti-mouse IgG for IP Nano-secondary antibody

• ゼブラフィッシュ抗体

ゼブラフィッシュのゲノムは人間のゲノムと87%の相同性があり、人間の病理過程の研究に重要な価値があります。現在、Huabioは100種類以上のゼブラフィッシュ抗体製品を発売しており、すべて厳格な品質検証を受けています。同時に、ゼブラフィッシュ関連の抗体カスタムサービスも提供しており、研究者のゼブラフィッシュ分野における最先端研究を支援します。

SDHA Recombinant Rabbit Monoclonal Antibody

SDHA Recombinant Rabbit Monoclonal Antibody

NF-kB p65 Rabbit Polyclonal Antibody

NF-kB p65 Rabbit Polyclonal Antibody

• タグ抗体

His、HA、Flag、GST、Mycなどの一般的なタグに対する高親和性抗体。

GST Mouse Monoclonal Antibody

GST Mouse Monoclonal Antibody

DYKDDDDK Tag (FLAG) Mouse Monoclonal Antibody

DYKDDDDK Tag (FLAG) Mouse Monoclonal Antibody

Myc tag Rabbit Polyclonal Antibody

Myc tag Rabbit Polyclonal Antibody

• ローディングコントロール抗体

GAPDH、β-Actin、β-Tubulin、Lamin B1などのハウスキーピング遺伝子に対する高特異性ローディングコントロール抗体を提供し、実験結果の定量精度とデータの信頼性を確保します。

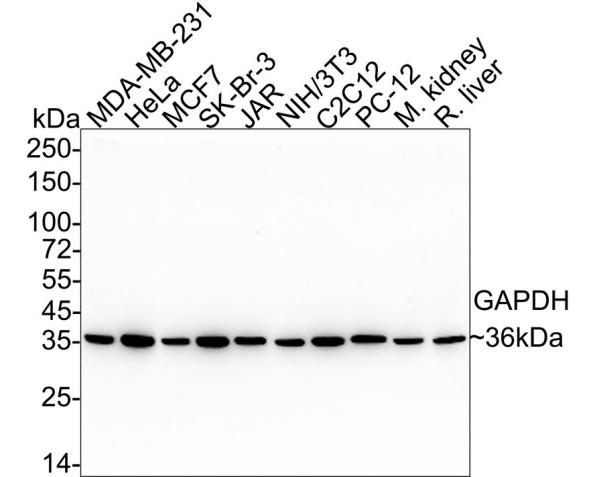
GAPDH Mouse Monoclonal Antibody

GAPDH Mouse Monoclonal Antibody

beta Actin Mouse Monoclonal Antibody

beta Actin Mouse Monoclonal Antibody

beta Tubulin Mouse Monoclonal Antibody

beta Tubulin Mouse Monoclonal Antibody

• 直接標識抗体

予め蛍光基(FITC、PEなど)または酵素(HRPなど)と結合しており、二次抗体のインキュベーションステップを省き、プロセスを簡素化し、時間を節約し、非特異的背景を効果的に減少させます。

GST Mouse Monoclonal Antibody

iFluor™ 488 Conjugated BrdU Recombinant Rabbit Monoclonal Antibody

iFluor™ 488 Conjugated BrdU Recombinant Rabbit Monoclonal Antibody

iFluor™ 647 Conjugated Cytokeratin 10 Recombinant Rabbit Monoclonal Antibody

iFluor™ 594 Conjugated Cytokeratin 19 Recombinant Rabbit Monoclonal Antibody

iFluor™ 594 Conjugated Cytokeratin 19 Recombinant Rabbit Monoclonal Antibody

• フローサイトメトリー抗体

フローサイトメトリーによる厳格な検証を受け、優れたシグナル対ノイズ比と最小限の非特異的結合を提供します。多種の蛍光標識をカバーし、免疫表現型解析から細胞シグナル伝達までのマルチカラーフロー分析をサポートします。

FITC Conjugated Human CD11b Recombinant Mouse Monoclonal Antibody

FITC Conjugated Human CD11b Recombinant Mouse Monoclonal Antibody

iFluor™ 488 Conjugated Human CD45 Recombinant Mouse Monoclonal Antibody

iFluor™ 488 Conjugated Human CD45 Recombinant Mouse Monoclonal Antibody

FITC Conjugated Human CD8 alpha Recombinant Mouse Monoclonal Antibody

FITC Conjugated Human CD8 alpha Recombinant Mouse Monoclonal Antibody

• 修飾型抗体

翻訳後修飾(リン酸化、アセチル化、メチル化、ユビキチン化など)に特異的な抗体を提供します。細胞シグナル伝達経路、エピジェネティック調節などの最先端分野の研究に不可欠なツールです。

Phospho-AKT (S473) Recombinant Rabbit Monoclonal Antibody

Phospho-AKT (S473) Recombinant Rabbit Monoclonal Antibody

Phospho-Erk1 (T202 + Y204) + Erk2 (T185 + Y187) Recombinant Rabbit Monoclonal Antibody

Phospho-Erk1 (T202 + Y204) + Erk2 (T185 + Y187) Recombinant Rabbit Monoclonal Antibody

p53 (acetyl K382) Recombinant Rabbit Monoclonal Antibody

p53 (acetyl K382) Recombinant Rabbit Monoclonal Antibody

新しいターゲットの探索や方法論の確立に合わせてカスタマイズされています。ミニキットには小サイズの一次抗体と二次抗体が含まれており、経済的な価格で完全な実験ソリューションを提供し、最低コストで迅速に信頼性の高い結果を得るのに役立ちます。

Close (esc)

Popup

Use this popup to embed a mailing list sign up form. Alternatively use it as a simple call to action with a link to a product or a page.

Age verification

By clicking enter you are verifying that you are old enough to consume alcohol.

搜索