Skip to content

抗体原材料

10年以上の専念と継続的な革新により、华安生物は標的抗原設計から抗体スクリーニング・検証までの包括的な技術体系を確立しています。私たちのコアアドバンテージは、抗体の発見、生産、品質管理の統合プラットフォームにあり、免疫原設計から抗体交付までの全工程を精密に制御することができます。

私たちは病理診断、in vitro診断試薬(IVD)、抗体薬物複合体(ADC)など、さまざまなアプリケーションシナリオのための抗体原材料ソリューションを提供しています。当社製品はヒト、マウス、ラットなど複数の種をカバーし、顧客のニーズに応じてカスタマイズすることができます。


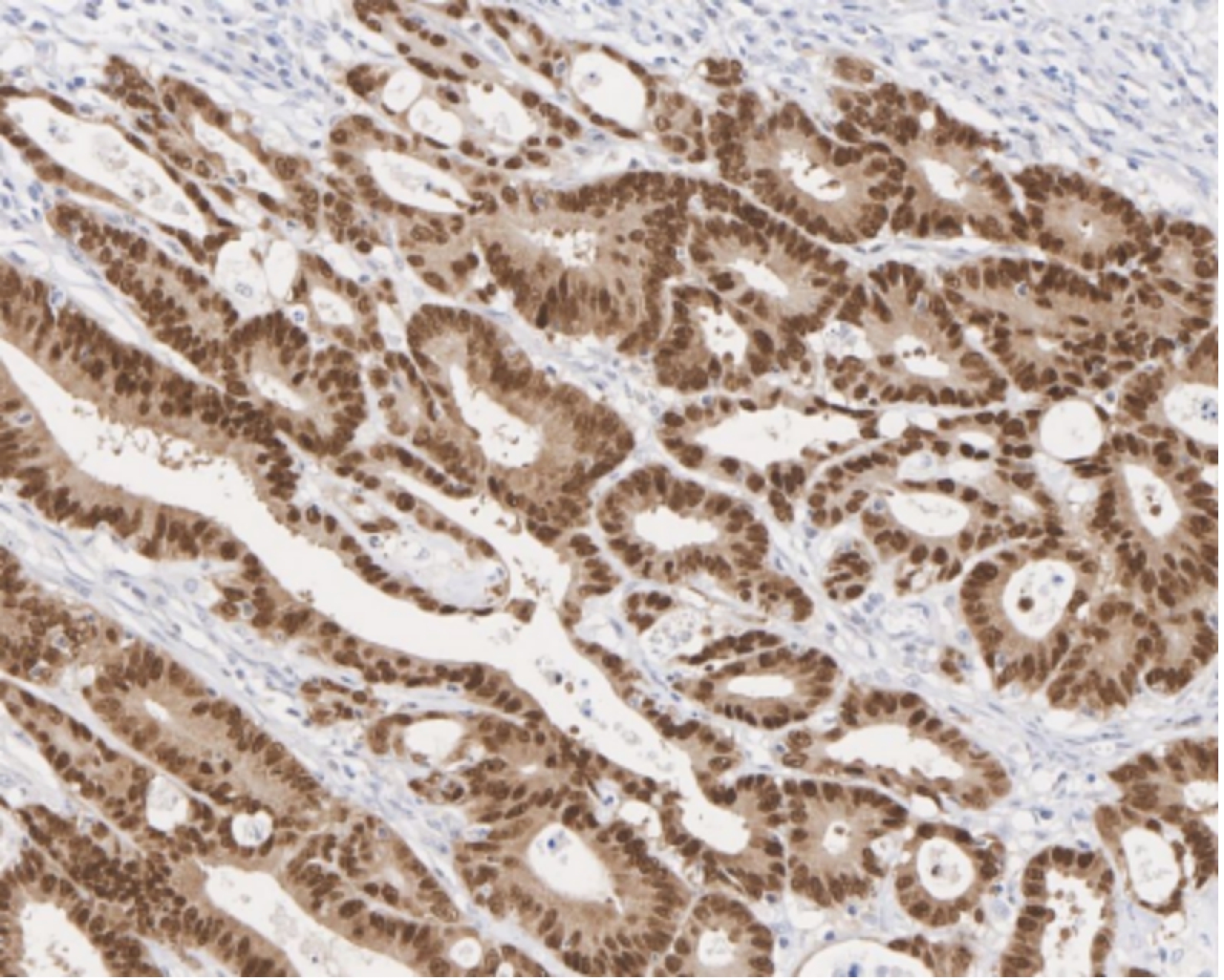
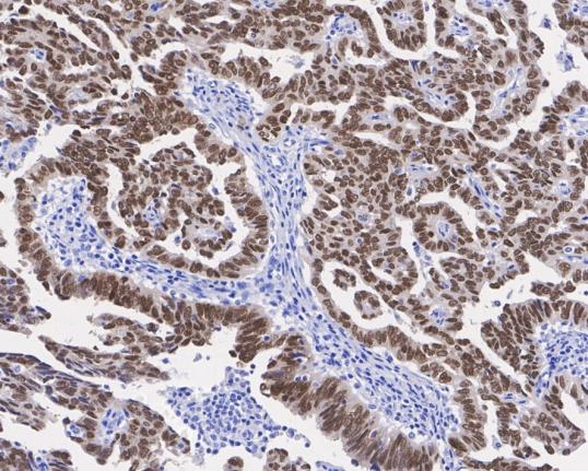
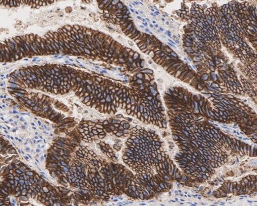
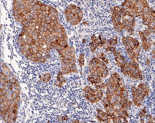
华安生物の病理IHC診断抗体は、HiMab®組換え抗体プラットフォームに基づいて独自に開発・最適化されており、高い特異性と感度を確保しています。これらの抗体は複数の組織タイプで厳密に検証されており、さまざまな病理診断シナリオに適しています。

当社のIHC診断抗体は、一般的な腫瘍マーカー、免疫細胞マーカー、組織特異的マーカーをカバーし、病理診断と研究に信頼できるサポートを提供しています。

すべてのIHC診断抗体は、特異性の検証、感度のテスト、安定性の評価を含む厳密な品質管理を受けており、臨床応用において一貫した性能を確保しています。

製品の利点

高特異性
高親和性
高いロット間一貫性
哺乳動物細胞抗体発現システム使用
組織マイクロアレイ(TMA)による検証

Recommended Products

PAX8 Recombinant Rabbit Monoclonal Antibody [JE80-01]
CDX2 Recombinant Rabbit Monoclonal Antibody [SY09-02]
P Glycoprotein Recombinant Mouse Monoclonal Antibody [A10F1-R]
HER2 / ErbB2 Recombinant Rabbit Monoclonal Antibody [PD00-99]
SOX2 Recombinant Rabbit Monoclonal Antibody [PO00-28]
Claudin 18.2 Recombinant Mouse Monoclonal Antibody [PSH18-20]

ペア抗体は免疫診断試薬の重要なコンポーネントであり、高い特異性、感度、適合性が要求されます。华安生物のペア抗体は、厳格なスクリーニングプロセスを通じて開発されており、キャプチャー抗体と検出抗体の最適なマッチングを確保しています。

当社のペア抗体は、ELISA、化学発光、ラテラルフローイムノアッセイなど、さまざまな免疫診断プラットフォームに適しています。当社は、プロトコルの最適化や性能検証を含む包括的な技術サポートを提供し、顧客が高性能な診断試薬を開発するのを支援しています。

製品の利点

高親和性
低クロスリアクティビティ
良好な適合性
高安定性

Recommended Products

Capture: HA722106
Detector: HA722107
Capture: HA722042
Detector: HA722043
Capture: HA721974
Detector: HA721975

抗体薬物複合体(ADC)の薬物動態(PK)と安全性評価において、血液中の微量の遊離毒素(Payload)を高感度かつ特異的にモニタリングすることは、安全ウィンドウの評価とリンカー(Linker)技術の最適化の鍵となります。华安生物は業界のフロンティアに焦点を当て、MMAE、DM1、SN-38、Dxdなどの主流の毒素に対する高感度・高特異性の検出抗体を開発しています。

このような抗体の開発には、小分子毒素の免疫原性が極めて弱く、遊離毒素、リンカー-毒素複合体、完全なADCを正確に区別する必要があるなど、独特の高いハードルがあります。私たちの技術的な突破は、革新的なハプテン設計とコンジュゲーション戦略にあります。毒素の重要な特徴構造を保持した免疫原を慎重に設計し、効率的な動物免疫とスクリーニングプラットフォームと組み合わせることで、標的小分子の特定のエピトープを標的とする高親和性抗体を取得することができます。私たちが提供するのは単なる抗体ではなく、競合ELISA、ホモジニアス検出プラットフォームへの適応などの方法論開発サポートや、規制要件に準拠した分析方法検証ガイダンスを含む、完全な検出ソリューションです。これらのツールは、ADC開発企業が体内の遊離毒素の暴露レベルを正確に定量化し、薬物放出動態を深く理解し、臨床前安全性評価と臨床薬物モニタリングに重要なデータサポートを提供し、より安全で効果的なADC薬物が市場に投入されるのを加速することができます。

小分子の免疫原性が弱く、区別が困難であるなどの課題に対処し、革新的な半抗原設計と部位特異的コンジュゲーション戦略により、極めて高い特異性と感度を確保しています。

Recommended Products

MMAE Recombinant Rabbit mAb
HA721256 | 微管抑制剂
DM1 Mouse mAb
HA600013 | 微管聚合抑制剂
Dxd Mouse mAb
HA601134 | DNA拓朴异构酶 I 抑制剂
Close (esc)

Popup

Use this popup to embed a mailing list sign up form. Alternatively use it as a simple call to action with a link to a product or a page.

Age verification

By clicking enter you are verifying that you are old enough to consume alcohol.

搜索