PD-L1 Recombinant Rabbit Monoclonal Antibody [JJ08-95]
製品仕様
今すぐ注文,【现货】
問い合わせをクリック概要
製品名
PD-L1 Recombinant Rabbit Monoclonal Antibody [JJ08-95]
抗体の種類
Recombinant Rabbit monoclonal Antibody
免疫原
Synthetic peptide within Human PD-L1 aa 191-240 / 290.
種属反応性
Human
検証された応用例
WB, IHC-P
分子量
Predicted band size: 33 kDa
陽性対照
MDA-MB-231 cell lysate, A375 cell lysate, U-87 MG cell lysate, THP-1 cell lysate, human non-small cell lung cancer tissue.
結合
unconjugated
クローン番号
JJ08-95
RRID
製品の特徴
形態
Liquid
保存方法
Shipped at 4℃. Store at +4℃ short term (1-2 weeks). It is recommended to aliquot into single-use upon delivery. Store at -20℃ long term.
保存用バッファー
1*TBS (pH7.4), 0.05% BSA, 40% Glycerol. Preservative: 0.05% Sodium Azide.
アイソタイプ
IgG
精製方法
Protein A affinity purified.
応用希釈度
-
WB
-
1:5,000
-
IHC-P
-
1:50-1:200
論文における応用例
| WB | 確認する 11 以下の論文 |
| IHC-P | 確認する 4 以下の論文 |
| IP | 確認する 2 以下の論文 |
| IHC | 確認する 1 以下の論文 |
| IF | 確認する 1 以下の論文 |
論文における種属
| Human | 確認する 14 以下の論文 |
| Dog | 確認する 1 以下の論文 |
| Mouse | 確認する 1 以下の論文 |
ターゲット
機能
Engagement of CD28 by B7-1 (CD80) or B7-2 (CD86) in the presence of antigen promotes T cell proliferation, cytokine production, differentiation of effector T cells, and the induction of Bcl-x, a promoter of T cell survival. Conversely, engagement of CTLA4 by B7-1 or B7-2 may inhibit proliferation and IL-2 production. Pdcd-1L1 (programmed cell death ligand-1), also known as B7-H1 or PD-L1, is 290 amino acid type I transmembrane protein which is 20% and 15% identical to B7-1 and B7-2, respectively. Pdcd-1L2 has immunoglobulin V-like and C-like domains and a 30 amino acid cytoplasmic tail. It does not bind CD28, cytotoxic T-lymphocyte A4 or ICOS (inducible co-stimulator). IL-2, although produced in small amounts, is required for the effect of Pdcd-1L1 co-stimulation. The gene which encodes Pdcd-1L1 maps to human chromosome 9p24. Pdcd-1L2 (programmed cell death ligand-2) is a 73 amino acid protein which contains a signal sequence, IgV- and IgC-like domains, a transmembrane region and a cytoplasmic region. The gene which encodes Pdcd-1L2 maps to human chromosome 9p24.2. The constitutive expression of Pdcd-1L1 and Pdcd-1L2 on paren-chymal cells of heart, lung and kidney suggests that the Pdcd-1-Pdcd-L system could provide unique negative signaling to help prevent autoimmune disease.
背景文献
1. Jurado J.O., et al. 2008. Programmed death (PD)-1:PD-ligand 1/PD-ligand 2 pathway inhibits T cell effector functions during human tuberculosis. J. Immunol. 181:116-125.
2. Boorjian S.A., et al. 2008. T-cell coregulatory molecule expression in urothelial cell carcinoma: clinicopathologic correlations and association with survival. Clin. Cancer Res. 14:4800-4808.
配列相同性
Belongs to the immunoglobulin superfamily. BTN/MOG family.
組織特異性
Highly expressed in the heart, skeletal muscle, placenta and lung. Weakly expressed in the thymus, spleen, kidney and liver. Expressed on activated T- and B-cells, dendritic cells, keratinocytes and monocytes.
翻訳後修飾
Ubiquitinated; STUB1 likely mediates polyubiquitination of PD-L1/CD274 triggering its degradation.
亜細胞局在
Cell membrane, Early endosome membrane, Recycling endosome membrane, Nucleus.
UNIPROT #
別名
B7 H antibody
B7 H1 antibody
B7 homolog 1 antibody
B7-H1 antibody
B7H antibody
B7H1 antibody
CD 274 antibody
CD274 antibody
CD274 antigen antibody
CD274 molecule antibody
展開B7 H antibody
B7 H1 antibody
B7 homolog 1 antibody
B7-H1 antibody
B7H antibody
B7H1 antibody
CD 274 antibody
CD274 antibody
CD274 antigen antibody
CD274 molecule antibody
MGC142294 antibody
MGC142296 antibody
OTTHUMP00000021029 antibody
PD L1 antibody
PD-L1 antibody
PD1L1_HUMAN antibody
PDCD1 ligand 1 antibody
PDCD1L1 antibody
PDCD1LG1 antibody
PDL 1 antibody
PDL1 antibody
Programmed cell death 1 ligand 1 antibody
Programmed death ligand 1 antibody
RGD1566211 antibody
折りたたむ画像
-
Western blot analysis of PD-L1 on different lysates with Rabbit anti-PD-L1 antibody (ET1701-41) at 1/5,000 dilution.
Lane 1: MDA-MB-231 cell lysate
Lane 2: A375 cell lysate
Lane 3: U-87 MG cell lysate
Lane 4: THP-1 cell lysate
Lysates/proteins at 20 µg/Lane.
Predicted band size: 33 kDa
Observed band size: 45 kDa
Exposure time: 3 minutes 10 seconds;
4-20% SDS-PAGE gel.
Proteins were transferred to a PVDF membrane and blocked with 5% NFDM/TBST for 1 hour at room temperature. The primary antibody (ET1701-41) at 1/5,000 dilution was used in 5% NFDM/TBST at 4℃ overnight. Goat Anti-Rabbit IgG - HRP Secondary Antibody (HA1001) at 1:50,000 dilution was used for 1 hour at room temperature. -
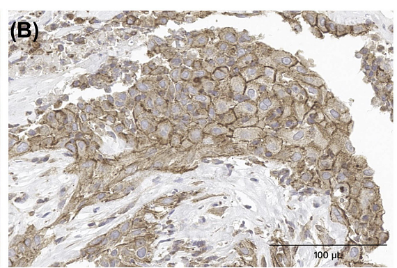
Immunohistochemical analysis of paraffin-embedded human non-small cell lung cancer tissue using anti-PD-L1 antibody. The section was pre-treated using heat mediated antigen retrieval with Tris-EDTA buffer (pH 8.0-8.4) for 20 minutes.The tissues were blocked in 5% BSA for 30 minutes at room temperature, washed with ddH2O and PBS, and then probed with the primary antibody (ET1701-41, 1/200) for 30 minutes at room temperature. The detection was performed using an HRP conjugated compact polymer system. DAB was used as the chromogen. Tissues were counterstained with hematoxylin and mounted with DPX.
ご注意ください: All products are "FOR RESEARCH USE ONLY AND ARE NOT INTENDED FOR DIAGNOSTIC OR THERAPEUTIC USE"
論文での実績
-
UPP1/ARNT positive feedback loop drives gastric cancer progression through metabolism reprogramming
Author: Liu Xin, Ma Yuxuan, Feng Chao, Qiao Xuanning, Wang Haoyuan, Wang Weidong, Xu Shenhui, Wei Jiangpeng, Yang Jianjun
PMID: 10.1007/s12032-025-03120-6
Journal: Medical Oncology
アプリケーション: WB
交差性: Human
掲載日: 2025 Nov
-
Citation
-
Exosomal PD-L1 derived from hypoxia nasopharyngeal carcinoma cell exacerbates CD8+ T cell suppression by promoting PD-L1 upregulation in macrophages
Author: Yuan Xiaofei, Liu Xiong, Jiang Di, Zheng Zijun, Ma Xuemin, Wu Shuting, Li Xiangping, Lu Juan, Fu Ming
PMID: 40411570
Journal: Cancer Immunology Immunotherapy
アプリケーション: IHC
交差性: Human
掲載日: 2025 May
-
Citation
-
Nicotine-induced PD-L1 expression in lung squamous cell carcinoma is mediated by the α7-nAChR/STAT3 signaling pathway
Author: Yinan Li, Wenting Wang, Yaoyao Wang, Ce Zhou, Xin Zou, Yixuan Wang, Ning Wang
PMID: 10.21037/tcr-2024-2587
Journal: Translational Cancer Research
アプリケーション: WB
交差性: Human
掲載日: 2025 Jun
-
Citation
-
Direct effects of the small molecule PD‑L1 inhibitor BMS‑202 on A375 melanoma cells: Anti‑tumor activity accompanied by increased mitochondrial function
Author: Nieng Zhang, Fenglan Feng, Ruonan Dang, Xiaoqing Zhao, Xingrong Wang, Yuqi Yang, Jinjin Deng, Yujie Wang, Zhuofan Wen, Wei Meng, Xinglan Huang, Shunying Zhang, Yuqiong Deng, Caifeng Huang, Peng Yan, Zhongrong Liu, Xiping Cheng
PMID: 40641134
Journal: Molecular Medicine Reports
アプリケーション: WB,IF
交差性: Human
掲載日: 2025 Jul
-
Citation
-
TLL1 knockdown attenuates prostate cancer progression by enhancing antitumor immunity
Author: Hao Jing-Lan, He Jia-Qi, Hu Hang, Zhu Zi-Heng, Zhao Xi, Wu Xiao-Yu, Li Lan, Ruan Yong-Tong, Yang Juan, Luo Xin-Yi, Xu Wang-Xue, Fu Ming, Zhang Kai, Gao Ping, Dong Xiao-Ming
PMID: 40760092
Journal: Oncogene
アプリケーション: WB,IP
交差性: Human
掲載日: 2025 Aug
-
Citation
-
The insular cortex-nucleus tractus solitarius glutamatergic pathway involved in acute stress-induced gastric mucosal damage in rats
Author: Zepeng Wang, Xinyu Li, Yuanyuan Li, Xuehan Sun, Yuxue Wang, Tong Lu, Dongqin Zhao, Xiaoli Ma, Haiji Sun
PMID: 40242326
Journal: Neurobiology of Stress
アプリケーション: WB,IP
交差性: Human
掲載日: 2025 Apr
-
Citation
-
Identification of Treg-related prognostic molecular subtypes and individualized characteristics in clear cell renal cell carcinoma through single-cell transcriptomes and bulk RNA sequencing
Author: Weng Kangqiang,et al
PMID: 38442575
Journal: International Immunopharmacology
アプリケーション: IHC-P
交差性: Human
掲載日: 2024 Mar
-
Citation
-
Discovery of Momordin Ic that selectively reduces PD-L1 expression in multiple myeloma cells by recruiting SYVN1
Author: Wu Sizhi,et al
PMID: NOPMID20240723
Journal: Food Bioscience
アプリケーション: WB
交差性: Human
掲載日: 2024 Jul
-
Citation
-
Clinical activity and safety of sintilimab, bevacizumab, and TMZ in patients with recurrent glioblastoma
Author: Lu Yinghao,et al
PMID: 38273249
Journal: BMC Cancer
アプリケーション: IHC-P
交差性: Human
掲載日: 2024 Feb
-
Citation
-
Discovering New Metallo-Deubiquitinase CSN5 Inhibitors by a Non-Catalytic Activity Assay Platform
Author: Yan Yuhang,et al
PMID: 39129245
Journal: Journal Of Medicinal Chemistry
アプリケーション: WB
交差性: Human
掲載日: 2024 Aug
-
Citation
-
PD-1/PD-L1 Interaction Upregulates YAP1 Expression in HepG2 Cells Through MAPK/ERK Pathway
Author: Li Shenghao,et al
PMID: NO PMID20231001
Journal: Natural Product Communications
アプリケーション: WB
交差性: Human
掲載日: 2023 Oct
-
Citation
-
Reversing stage III oral adenocarcinoma in a dog treated with anti-canine PD-1 therapeutic antibody: a case report
Author:
PMID: 37252387
Journal: Frontiers In Veterinary Science
アプリケーション: WB
交差性: Dog
掲載日: 2023 May
-
Citation
-
Overexpression of POLA2 in hepatocellular carcinoma is involved in immune infiltration and predicts a poor prognosis
Author:
PMID: 37452331
Journal: Cancer Cell International
アプリケーション: WB
交差性: Human
掲載日: 2023 Jul
-
Citation
-
Identification of a Hypoxia-Related Signature for Predicting Prognosis and the Immune Microenvironment in Bladder Cancer
Author:
PMID: 34026819
Journal: Frontiers In Molecular Biosciences
アプリケーション: IHC-P
交差性: Human
掲載日: 2021 May
-
Citation
-
Combination Foretinib and Anti-PD-1 Antibody Immunotherapy for Colorectal Carcinoma. Frontiers in cell and developmental biology, 9, 689727.
Author: Fu, Y., Peng, Y., Zhao, S., Mou, J., Zeng, L., Jiang, X., Yang, C., Huang, C., Li, Y., Lu, Y., Wu, M., Yang, Y., Kong, T., Lai, Q., Wu, Y., Yao, Y., Wang, Y., Gou, L., & Yang, J.
PMID: 34307367
Journal: Frontiers In Cell And Developmental Biology
アプリケーション: WB
交差性: Mouse
掲載日: 2021 Jul
-
Citation
-
BRAF Mutation as a Potential Therapeutic Target for Checkpoint Inhibitors: A Comprehensive Analysis of Immune Microenvironment in BRAF Mutated Colon Cancer
Author: Cen, S., Liu, K., Zheng, Y., Shan, J., Jing, C., Gao, J., Pan, H., Bai, Z., & Liu, Z.
PMID: 34381786
Journal: Frontiers In Cell And Developmental Biology
アプリケーション: IHC-P
交差性: Human
掲載日: 2021 Jul
-
Citation
同じターゲット & 同じ経路の製品
PD-L1 Recombinant Rabbit Monoclonal Antibody [PD00-97] - BSA and Azide free
Application: IHC-P,IF-Cell
Reactivity: Human
Conjugate: unconjugated
PD-L1 Recombinant Rabbit Multiclonal Antibody [PSH13-23]
Application: WB
Reactivity: Human,Mouse
Conjugate: unconjugated
PD-L1 Recombinant Rabbit Monoclonal Antibody [PD01-02]
Application: IHC-P,mIHC,WB
Reactivity: Human
Conjugate: unconjugated
PD-L1 Recombinant Rabbit Monoclonal Antibody [JJ08-95] - BSA and Azide free
Application: WB,IHC-P
Reactivity: Human
Conjugate: unconjugated
PD-L1 Recombinant Rabbit Monoclonal Antibody [PD00-97]
Application: IHC-P,IF-Cell
Reactivity: Human
Conjugate: unconjugated
PD-L1 Recombinant Rabbit Monoclonal Antibody
Application: mIHC
Reactivity: Human
Conjugate: unconjugated
PD-L1 Recombinant Rabbit Multiclonal Antibody [PSH13-23] - BSA and Azide free
Application: WB
Reactivity: Human,Mouse
Conjugate: unconjugated