画像
-
Application: IHC-Fr
Species: Mouse
Site: hippocampus
Sample: Frozen section
Antibody concentration: 1/500 (VGLUT2, HA610285, Mouse, green); 1/500 (VGLUT1, HA601449, Guinea pig, red)
Antigen retrieval: Not required
-
Application: IHC-Fr
Species: Rat
Site: hippocampus
Sample: Frozen section
Antibody concentration: 1/500 (VGLUT2, HA610285, Mouse, green); 1/500 (VGLUT1, HA601449, Guinea pig, red)
Antigen retrieval: Not required
-
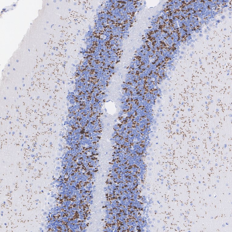
Immunohistochemical analysis of paraffin-embedded mouse cerebellum tissue with Mouse anti-VGLUT2 antibody (HA610285) at 1/2,000 dilution.
The section was pre-treated using heat mediated antigen retrieval with Tris-EDTA buffer (pH 9.0) for 20 minutes. The tissues were blocked in 1% BSA for 20 minutes at room temperature, washed with ddH2O and PBS, and then probed with the primary antibody (HA610285) at 1/2,000 dilution for 1 hour at room temperature. The detection was performed using an HRP conjugated compact polymer system. DAB was used as the chromogen. Tissues were counterstained with hematoxylin and mounted with DPX.
-
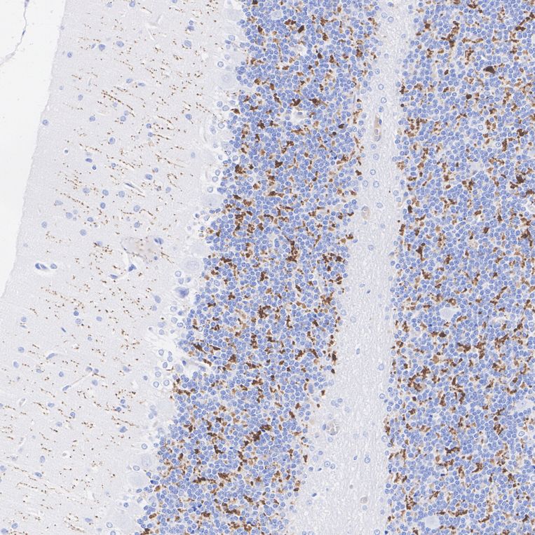
Immunohistochemical analysis of paraffin-embedded rat cerebellum tissue with Mouse anti-VGLUT2 antibody (HA610285) at 1/2,000 dilution.
The section was pre-treated using heat mediated antigen retrieval with Tris-EDTA buffer (pH 9.0) for 20 minutes. The tissues were blocked in 1% BSA for 20 minutes at room temperature, washed with ddH2O and PBS, and then probed with the primary antibody (HA610285) at 1/2,000 dilution for 1 hour at room temperature. The detection was performed using an HRP conjugated compact polymer system. DAB was used as the chromogen. Tissues were counterstained with hematoxylin and mounted with DPX.
-
Western blot analysis of VGLUT2 on different lysates with Mouse anti-VGLUT2 antibody (HA610285) at 1/5,000 dilution.
Lane 1: Mouse brain tissue lysate
Lane 2: Mouse lung tissue lysate (negative)
Lysates/proteins at 20 µg/Lane.
Predicted band size: 65 kDa
Observed band size: 65 kDa
Exposure time: 20 seconds; ECL: K1801;
4-20% SDS-PAGE gel.
Proteins were transferred to a PVDF membrane and blocked with 5% NFDM/TBST for 1 hour at room temperature. The primary antibody (HA610285) at 1/5,000 dilution was used in primary antibody dilution (K1803) at 4℃ overnight. Goat Anti-Mouse IgG - HRP Secondary Antibody (HA1006) at 1/50,000 dilution was used for 1 hour at room temperature.
ご注意ください: All products are "FOR RESEARCH USE ONLY AND ARE NOT INTENDED FOR DIAGNOSTIC OR THERAPEUTIC USE"