95 alpha chain antibody
95 antibody
CD 11c antibody
CD11 antigen-like family member C antibody
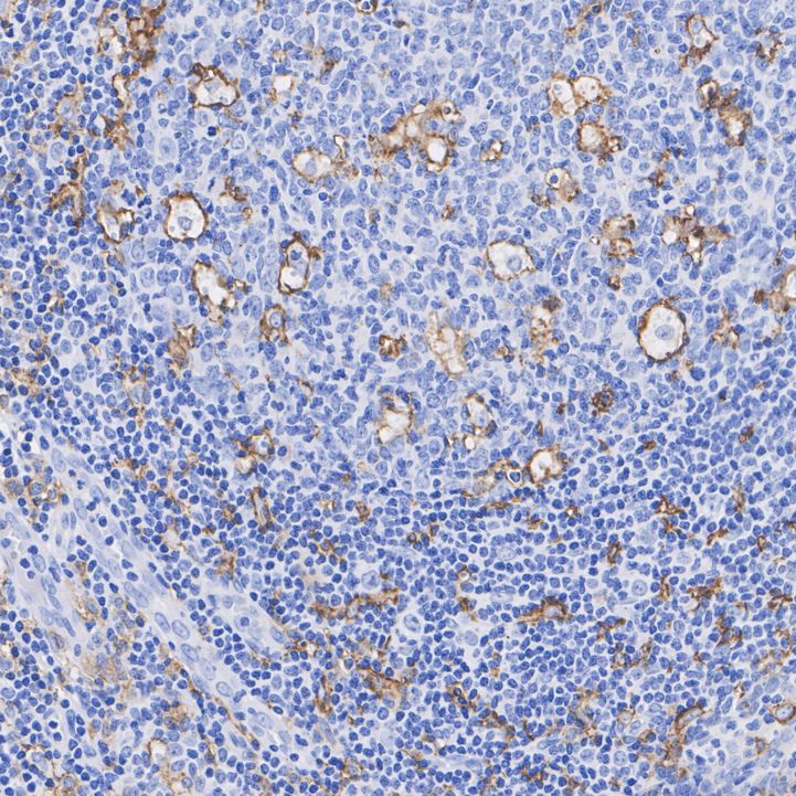
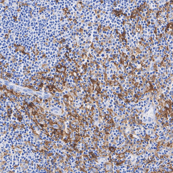
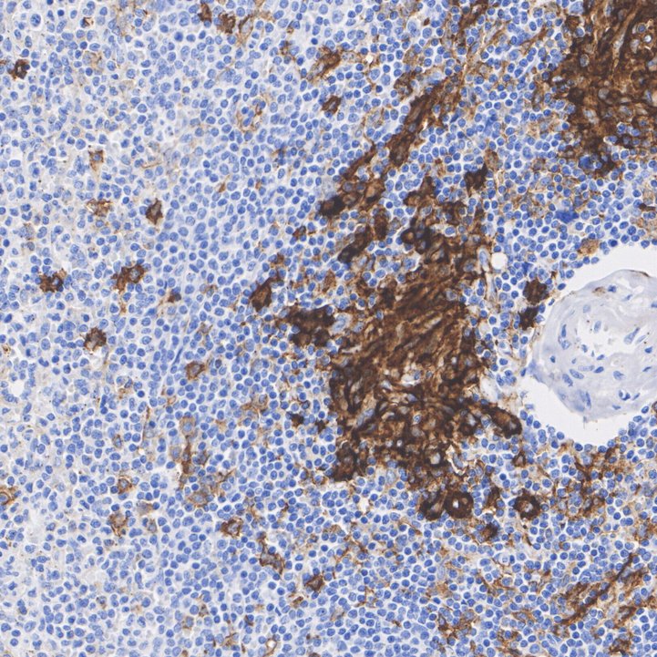
CD11c antibody
CD11c antigen antibody
Complement component 3 receptor 4 subunit antibody
CR4 antibody
Integrin alpha X antibody
Integrin alpha X chain antibody
展開
95 alpha chain antibody
95 antibody
CD 11c antibody
CD11 antigen-like family member C antibody
CD11c antibody
CD11c antigen antibody
Complement component 3 receptor 4 subunit antibody
CR4 antibody
Integrin alpha X antibody
Integrin alpha X chain antibody
Integrin alpha-X antibody
Integrin aX antibody
Integrin subunit alpha X antibody
integrin, alpha X (antigen CD11C (p150), alpha polypeptide) antibody
integrin, alpha X (complement component 3 receptor 4 subunit antibody
ITAX_HUMAN antibody
ITGAX antibody
LEU M5 alpha subunit antibody
Leu M5 antibody
Leukocyte adhesion glycoprotein p150 95 alpha chain antibody
Leukocyte adhesion glycoprotein p150 antibody
Leukocyte adhesion receptor p150 95 antibody
Leukocyte adhesion receptor p150 antibody
Leukocyte surface antigen p150 95 alpha subunit antibody
Leukocyte surface antigen p150 alpha subunit antibody
Myeloid membrane antigen alpha subunit antibody
p150 95 integrin alpha chain antibody
p150 antibody
p150/95 antibody
SLEB6 antibody
折りたたむ