多重免疫蛍光(mIHC)技術は、同一切切片上で複数の標的タンパク質を同時に標識・可視化できます。高解像度蛍光イメージングと専門解析ソフトウェアと組み合わせることで、組織微小環境中の様々な生物学的情報を深く解析できます。典型的な応用例は以下の通りです:
多重タンパク質共局在解析:同一細胞または亜細胞構造における2つ以上のタンパク質の共発現を検出します;
細胞表現型の同定と定量:特定のマーカーの組み合わせにより、異なる細胞タイプ(免疫細胞分型、腫瘍細胞の異質性など)を識別します;
空間関係解析:組織内の異なる細胞集団の分布、近接関係、浸潤パターンを評価します;
シグナル経路活性研究:複数のリン酸化タンパク質または経路関連タンパク質を同時に標識し、機能状態を明らかにします;
予後バイオマーカーの探索:臨床データと組み合わせ、特定の細胞表現型または空間構造と疾患進行との相関を定量的に解析します。
mIHCは、腫瘍免疫学、神経科学、発生生物学など、複雑な微小環境解析が必要な研究分野に特に適しています。
TSA(Tyramide Signal Amplification、チラミド信号増幅)は、酵素触媒沈殿反応に基づく高感度検出技術で、そのコアステップは以下の通りです:
一次抗体結合:特異的一次抗体が標的抗原に結合します;
二次抗体結合:西洋わさびペルオキシダーゼ(HRP)標識二次抗体が一次抗体に結合します;
蛍光チラミドの活性化と共有結合沈殿:蛍光基を含むチラミド基質を添加すると、HRPと過酸化水素(H₂O₂)の触媒作用により、チラミドラジカルが速やかに生成され、抗原近傍のチロシン残基に共有結合的に架橋し、局所的な信号増幅が実現します;
抗体剥離と循環染色:温和な加熱または化学処理により結合抗体を除去し、共有結合した蛍光信号を保持したまま、次のラウンドの染色を行います。
TSA技術は高い信号対ノイズ比と信号増幅能力を備え、一次抗体の種に制限されません。蛍光チラミドを交換するだけで複数ラウンドの標識が可能で、マルチカラーmIHCパネルを実現するための理想的な方法です。
最終的な実験結果の信頼性と再現性を確保するため、以下のステップに従って系統的な前実験検証を行うことを推奨します:
一次抗体の特異性検証:
パネル内の各抗体について濃度勾配テストを行い、特異的信号と背景ノイズを評価します;
多重染色の適性評価:
使用する組織タイプ(パラフィン切片、凍結切片など)および処理方法に基づいて、組織の耐性を評価します;
抗原賦活化条件、抗体インキュベーション時間などの実験プロトコルを最適化し、多重染色後の組織形態が完全で信号が明確であることを確保します。
多重免疫蛍光(mIHC)実験結果の正確性と再現性を確保するため、適格なサンプル調製が最初の基礎となります。以下に、パラフィン切片、凍結切片、細胞クライミングスライドの3種類の常用サンプルに関する主な調製および保存規格を示します。
パラフィン切片
調製基準:切片は組織形態が完全で、厚さが均一(通常推奨3~5 μm)、しわ、裂け目、ナイフマークがないこと。
保存条件:短期間(推奨2週間以内)は暗所、乾燥した室温環境(21–25°C)で保存可能;長期保存の場合は密封して2–8°Cで冷蔵保存し、湿気とカビの発生に注意してください。
凍結切片
前処理:組織はまず4%パラホルムアルデヒドで十分に固定し、次に勾配ショ糖溶液(10%~30%など)で脱水処理を行って氷晶形成を低減し、最後にOCTコンパウンドを使用して包埋します。
切片化と保存:切片厚さは通常8 μmで、スライドからの剥離を防ぐため防脱スライドを使用して組織が完全かつ平坦に貼り付ける必要があります。切片後は速やかに密封し、-80°Cの低温環境で保存し、繰り返しの凍結融解を避けてください。
細胞クライミングスライド
細胞状態:接着性が良好で、増殖状態が活発な細胞を使用することを推奨します。播種密度は80%–85%が適切で、過度な融合による細胞形態と抗原アクセシビリティへの影響を避けてください。培養過程全体を通じて厳格な無菌操作が必要で、微生物汚染や細胞の異常凝集がないことを確保してください。
クライミングスライドの処理と保存:細胞クライミングスライドは通常、固定(4%パラホルムアルデヒドなど)後に十分に洗浄する必要があります。即座に染色できない場合は、密封して短期間は2–8°Cで保存可能;長期保存の場合は-80°Cで保存することを推奨し、凍結融解を避けてください。
成功したmIHC実験を行うには、複数の要素を統合的に最適化する必要があります。以下の事項に重点的に注意することを推奨します:
サンプル処理:
切片を常に湿潤な状態に保ち、乾燥による非特異的結合を避けてください;
組織タイプと標的特性に応じて、適切な抗原賦活化液と賦活化条件を選択してください。
実験設計:
染色順序:低存在量標的を優先的に標識し;高存在量標的は後で標識し、蛍光チャンネルの順序を合理的に計画して隣接チャンネル間のクロストークを避け、必要に応じてスペクトル分割の検証と補正を行ってください;
占有効果の回避:「先低後高」「先少後多」の原則に従い、初期の高存在量標的が後続の染色に影響を与えないようにしてください。
信号の平衡:
前実験で抗体濃度とTSA反応時間を調整し、各チャンネルの信号強度が適度で階層が明確になるようにし、過剰な増幅による背景の上昇や信号の飽和を避けてください。
抗体:
輸送条件:4℃冷蔵輸送;
短期保存:受け取り後は4℃で1–2週間保存可能;
長期保存:分注して-20℃で保存することを推奨し、繰り返しの凍結融解を避けてください;
有効期間:出庫後1年間保証。
TSAキット:
保存条件:暗所で4℃保存、開封後は汚染に厳重に注意してください;
有効期間:6か月;
安定性指標:蛍光チラミド溶液に沈殿または著しい色の変化が見られた場合、失効している可能性があるため、使用しないことを推奨します。
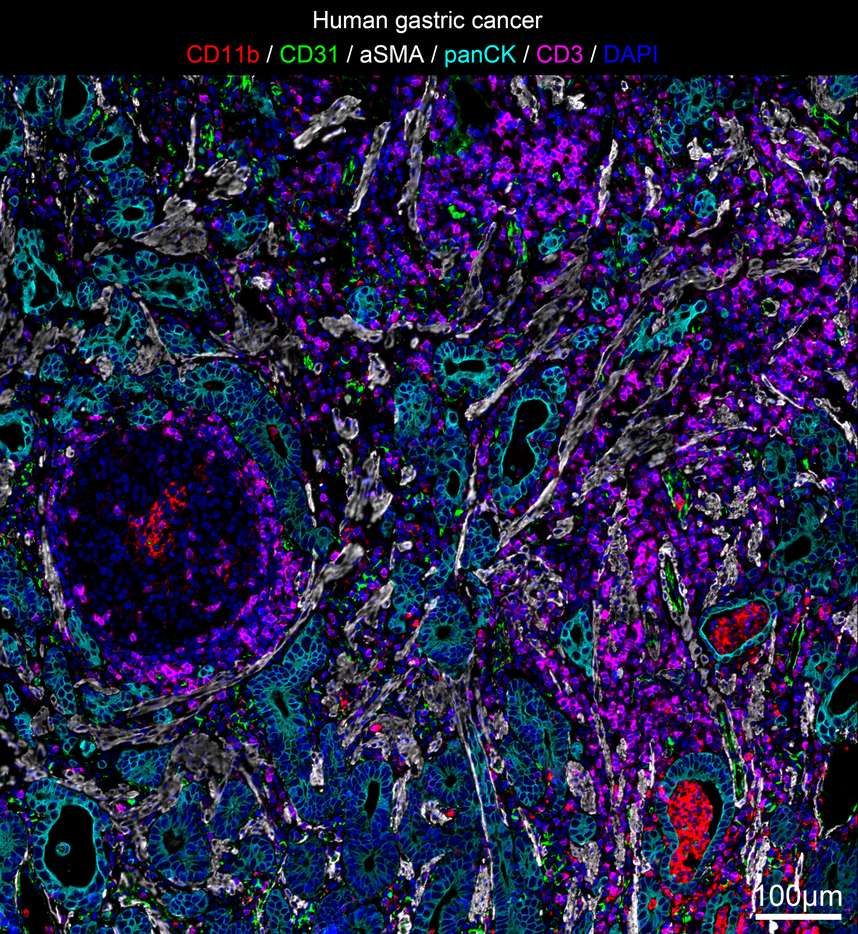
成熟したパネル
| ヒト胃癌微小環境抗体パネル |
| 赤/CD11b、緑/CD31、白/aSMA、シアン/CD3、シアン-緑/pan CK、青/DAPI |
| 標識細胞<br>腫瘍微小環境中のT細胞(CD3+)、骨髄系細胞(CD11b+)、血管内皮細胞(CD31+)、線維芽細胞(aSMA+)、および腫瘍細胞(pan CK) |
TSA试剂盒
华安生物联合明虹推出新一代TSA染色试剂盒。该试剂盒包含全流程试剂,具备信号放大能力强、背景低、操作便捷的特点。产品经过严格质控,批次稳定性优异,旨在为多重染色与低丰度靶标检测提供可靠支持。
| 货号 | 产品名称 | 说明 |
|---|---|---|
| 900801 | 虹和 CmTSA 多重免疫荧光染色试剂盒(套装)IRISKit CmTSA Kit | 1Rabbit+1Mouse+1Rat |
| 900802 | 虹和 CmTSA 多重免疫荧光染色试剂盒(套装)IRISKit CmTSA Kit | 2Rabbit+1Mouse |
| 900803 | 虹和 CmTSA 多重免疫荧光染色试剂盒(套装)IRISKit CmTSA Kit | 1Rabbit+2Mouse |
| 900804 | 虹和 CmTSA 多重免疫荧光染色试剂盒(套装)IRISKit CmTSA Kit | 2Rabbit+1Rat |
| 900805 | 虹和 CmTSA 多重免疫荧光染色试剂盒(套装)IRISKit CmTSA Kit | 1Rabbit+2Rat |
| 900806 | 虹和 CmTSA 多重免疫荧光染色试剂盒(套装)IRISKit CmTSA Kit | 2Mouse+1Rat |
| 900807 | 虹和 CmTSA 多重免疫荧光染色试剂盒(套装)IRISKit CmTSA Kit | 1Mouse+2Rat |
| 900808 | 虹和 CmTSA 多重免疫荧光染色试剂盒(套装)IRISKit CmTSA Kit | 3Rabbit |
| 900809 | 虹和 CmTSA 多重免疫荧光染色试剂盒(套装)IRISKit CmTSA Kit | 3Mouse |
| 900810 | 虹和 CmTSA 多重免疫荧光染色试剂盒(套装)IRISKit CmTSA Kit | 3Rat |
| 900102 | 虹和超视界荧光淬灭试剂盒 IRISKit HyperView Quench Buffer | 10T 光淬系统 |
| 900103 | 虹和超视界荧光淬灭试剂盒 IRISKit HyperView Quench Buffer | 4T 光淬系统 |
| 900402 | 虹和超视界抗体洗脱试剂盒 IRISKit HyperView Advanced Ab-Stripping Kit |
数据对比展示
*免疫荧光与TSA染色(使用HUABIO MESA-IRSTM 空间抗体搭配TSA染色试剂盒)实验效果对比展示:
*相同实验条件下(一抗浓度,孵育时间),与传统IF染色技术相比,TSA染色可以显著增强荧光信号。
*相同实验条件下(一抗浓度,孵育时间),与传统IF染色技术相比,TSA染色可以显著增强CD4/CD8/CD20 荧光信号。
*相同实验条件下(一抗浓度,孵育时间),与传统IF染色技术相比,TSA染色方法对肝脏低表达的CD31检测灵敏度更高,有效标记了肝实质微小血管网络。

