Skip to content

疑难靶点系列——PD-L1 (肿瘤细胞的免死金牌)


PD-L1简介


PD-L1(程序性死亡配体-1,亦称CD274或B7-H1)属于B7超家族成员。人PD-L1基因位于9号染色体短臂2区4带1亚带(9p24.1)。该区域发生基因扩增是导致肿瘤细胞PD-L1表达上调的重要机制之一。

一、 结构与特征

蛋白结构域:
胞外区:包含一个IgV样结构域和一个IgC样结构域,其中IgV样结构域是与受体PD-1及B7.1(CD80)结合的关键区域。
跨膜区:由单一疏水α螺旋跨膜结构域构成。
胞内区:长度较短(约30个氨基酸),缺乏经典信号基序,但其在调控蛋白稳定性、介导反向信号传导等方面的功能逐渐被揭示。
翻译后修饰:PD-L1为高度糖基化的I型跨膜蛋白,其糖基化修饰对蛋白质的正确折叠、稳定性、膜定位及与受体结合的能力具有重要作用。
 
PD-L1蛋白示意图;PMID: 38654302
表达调控:
PD-L1的表达受到多重机制的精密切控,主要包括以下三个层面:
转录水平:主要由炎症信号通路驱动,其中IFN-γ/JAK/STAT信号通路发挥关键作用。此外,PI3K/AKT、NF-κB 等信号通路也参与调控PD-L1的转录。转录后水平:涉及mRNA的稳定性调节,通过多种RNA结合蛋白及非编码RNA等方式影响PD-L1 mRNA的降解与存续。翻译后水平:主要包括去泛素化以增强蛋白稳定性,以及糖基化修饰,这些修饰直接影响PD-L1的构象、定位及功能活性。
PD-1/PD-L1通路概览
PMID: 33854633
 

二、 PD-L1的核心生物学功能与病理意义

生理功能:维持外周免疫耐受
在正常生理状态下,PD-L1在抗原呈递细胞、部分上皮细胞及免疫豁免组织(如胎盘、眼)中呈低水平表达。当PD-L1与活化T细胞表面的PD-1结合后,可募集SHP2磷酸酶,进而抑制T细胞受体信号通路及其下游的PI3K/AKT/mTOR通路活性,最终导致:
l T细胞增殖受到抑制
l 细胞因子(如IL-2, IFN-γ, TNF-α)形成减少
l 诱导T细胞凋亡或功能耗竭
这一调控机制对防止自身免疫反应及过度免疫损伤具有关键作用。
病理功能:介导肿瘤免疫逃逸
肿瘤细胞利用免疫检查点机制,通过基因扩增、表观遗传改变、炎症信号诱导等多种途径异常高表达PD-L1。在肿瘤微环境中,PD-L1与肿瘤浸润淋巴细胞表面的PD-1结合,直接抑制细胞毒性T细胞(CTL)和Th1细胞的抗肿瘤功能,从而促进肿瘤的生长与转移。该过程是肿瘤微环境形成免疫抑制状态的核心机制之一。
临床意义与靶向治疗
PD-1/PD-L1信号轴是肿瘤免疫治疗的重要靶点。阻断性单克隆抗体可通过解除PD-L1对T细胞的抑制作用,重建机体的抗肿瘤免疫应答。目前,已有多种PD-1/PD-L1抑制剂广泛应用于临床,涵盖非小细胞肺癌、肝细胞癌、尿路上皮癌等多种实体瘤。
2,实验小窍门
Western Blot主要用于检测细胞或组织裂解液中PD-L1的总蛋白表达水平。
1,样本制备
诱导表达处理:多数细胞系中PD-L1的基础表达水平较低。为获得清晰的检测条带,通常需使用IFN-γ或LPS等刺激剂对细胞进行诱导处理。实验时应设置未经诱导的细胞作为阴性对照

 
裂解条件:推荐使用高效RIPA裂解液进行蛋白抽提,并务必在裂解体系中添加蛋白酶抑制剂与磷酸酶抑制剂,以有效防止目标蛋白降解及去磷酸化修饰的丢失。
变性处理:建议将蛋白样品于95–100°C加热5–10分钟,以确保蛋白质充分变性、糖基化修饰结构展开,并促进后续免疫识别位点的暴露。
2,凝胶电泳
推荐使用10-12%的SDS-PAGE凝胶。
由于PD-L1为跨膜蛋白且存在糖基化修饰,其电泳迁移率可能受到影响,实验中应注意根据预染蛋白Marker判断目标条带位置。
3,抗体选择与使用
一抗选择:此步骤为实验成功的关键。
特异性:应选用经Western Blot验证的高特异性抗体。例如,HA721176、HA722184等抗体已在多篇研究中得到广泛验证。
 
华安生物HA721176抗体,在相同实验条件下,实验结果和抗体效价均优于其他商业抗体)
种属反应性:须确认所选抗体适用于实验所用样本的种属来源(如人、小鼠、大鼠等)。
4,结果判读
预期条带位置:PD-L1主要条带通常位于 40–55 kDa 范围内,且在电泳图中常呈现弥散(Smear)状,这是其糖基化修饰的典型特征。
可能出现的条带情况:
除主条带外,还可能在以下位置观察到其他条带:
l 更高分子量区域(如60–70 kDa):通常为糖基化程度更高的PD-L1形式。
l 更低分子量区域(如33 kDa):可能对应未糖基化或发生蛋白降解的片段。
内参选择:实验中必须设置内参,常用选项包括 GAPDH(~36 kDa)、β-Actin(~42 kDa)或 Vinculin(~124 kDa)。选择时应注意内参条带分子量须与PD-L1目标条带位置明显区分。
对照设置:
建议设置以下对照以验证抗体特异性及实验体系的可靠性:
l 阴性对照:使用已知不表达PD-L1的细胞系(如某些Jurkat亚系)。
l 阳性对照:使用已知高表达PD-L1的细胞系(如经IFN-γ处理的A549细胞)。

IHC检测PD-L1(免疫组织化学法)
IHC可在组织原位检测PD-L1的蛋白表达及定位(如细胞膜表达),是生物标志物研究中的核心技术。
1,样本固定与处理
固定:采用10%中性缓冲福尔马林进行固定。固定时间应严格控制,建议为6–72小时。固定不足可能导致抗原丢失,固定过度则易引起抗原掩蔽并增加后续抗原修复难度。
切片:石蜡切片厚度通常为4-5 μm。
2,抗原修复
PD-L1 的IHC通常需要强烈的抗原修复。
推荐方法:使用EDTA(pH8.0–9.0)修复液,通过高压锅或微波炉进行热诱导表位修复。具体修复条件(时间、pH值)应根据所用一抗及实验室条件进行优化。
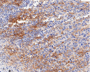
(人肺癌组织切片通过Tris-EDTA缓冲液(pH 9.0)预处理20分钟。使用HA722300抗体在1/1,000稀释下对其进行免疫组化分析)
3,检测系统与显色
建议使用高灵敏度HRP聚合物检测系统,以降低非特异性背景。
DAB显色过程中,应在显微镜下控制显色时间,避免过显色(背景过深)或显色不足(信号弱)。
4,对照设置
阳性对照:可使用已知PD-L1表达阳性的组织芯片,其中应包含不同表达水平(阴性、弱阳性、强阳性)的样本;或使用PD-L1过表达细胞系制备的石蜡块。
阴性对照:同一张切片中的正常上皮或浸润免疫细胞可作为内源性阴性对照。
实验阴性对照:用PBS或同型IgG替代一抗进行染色,以排除非特异性结合。
自身对照:观察肿瘤区域与癌旁正常组织的染色差异。
 

三,优质产品推荐

PD-L1靶点抗体,华安官网目前在售38个SKU,其中包括:
27支抗体(23支重组兔单抗、1支鼠单抗、2支兔多抗和1支大鼠嵌合抗体);
7个重组蛋白;
2个ELISA试剂盒;
2个mIHC Panel试剂盒。
具体产品信息可访问华安生物HUABIO官网

Close (esc)

Popup

Use this popup to embed a mailing list sign up form. Alternatively use it as a simple call to action with a link to a product or a page.

Age verification

By clicking enter you are verifying that you are old enough to consume alcohol.

搜索